症例詳細
Case detail
奥歯のセラミックがすぐに壊れる 欠損した奥歯へのインプラント治療
治療症例の内容
- 担当医
- 藤巻太一朗(ドクタープロフィール)
- 患者様
- 50代女性
- 治療期間
- 11ヶ月
- 治療回数
- 5-10回
- 治療計画
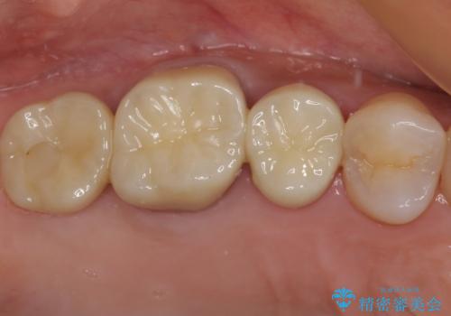
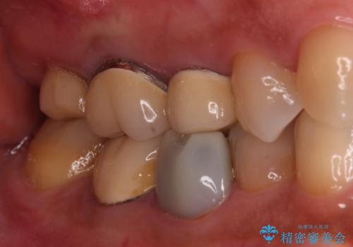
- 歯が欠損したままの奥歯のクラウンが欠けているとのことで来院された患者様です。
右上の一番奥の歯が欠損しており、その手前の歯2つを土台に連結されたクラウンが装着されていました。
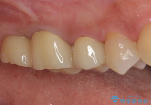
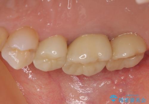
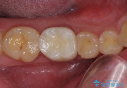
不安定な咬み合わせとなっており、クラウンの表面が剥離していたため、インプラントによる欠損補綴治療を行い、手前2つの歯も一緒に補綴治療を行うこととしました。
- 費用(概算)
- 治療費の目安: 62万円(税込)費用は治療当時の料金となります
治療について
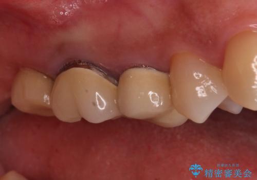
治療中の仮歯も頻繁に壊れておりましたが、インプラントの土台が歯肉上に出てからは咬み合わせが安定し、仮歯が壊れることもなくなりました。
インプラント治療の注意事項(リスク・副作用など)
- 外科手術のため、術後に痛みや腫れ、違和感を伴います
- メンテナンスを怠ったり喫煙により、お口の中に大きな悪影響を及ぼすインプラント周囲炎等にかかる可能性があります
- 糖尿病、肝硬変、心臓病等の場合、インプラント治療ができない可能性があります
- 高血圧、貧血・不整脈等の場合、インプラント治療後に治癒不全を招く可能性があります
- 自費診療(保険適用外治療)となります
セラミック治療の注意事項(リスク・副作用など)
- 天然歯を削ります
- 硬い素材は天然歯を傷つけてしまう場合があります
- かみ合わせや歯ぎしりが強すぎる方はセラミックが割れてしまう可能性があります
- 自費診療(保険適用外治療)となります
当サイトの内容、テキスト、画像等の無断転載、複製、複写、盗用を固く禁じます。














