症例詳細
Case detail
ひどすぎる前歯の仮歯 オールセラミッククラウンで自然な前歯に
治療症例の内容
- 診療科目
- 治療カテゴリ
- 担当医
- 藤巻太一朗(ドクタープロフィール)
- 患者様
- 40代女性
- 治療期間
- 1ヶ月
- 治療回数
- 2-5回
- 治療計画
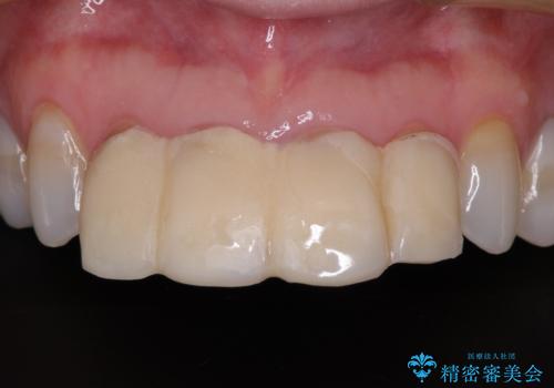
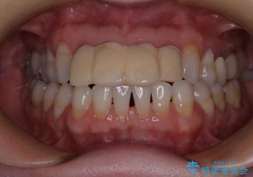
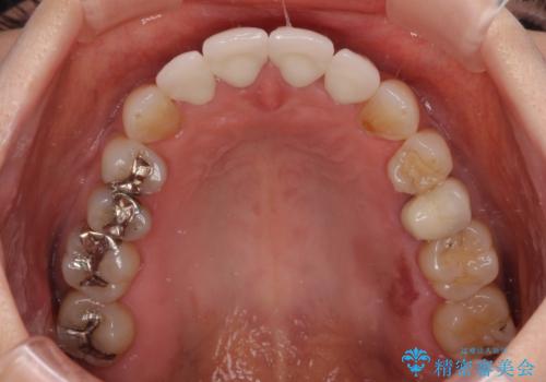
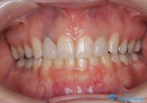
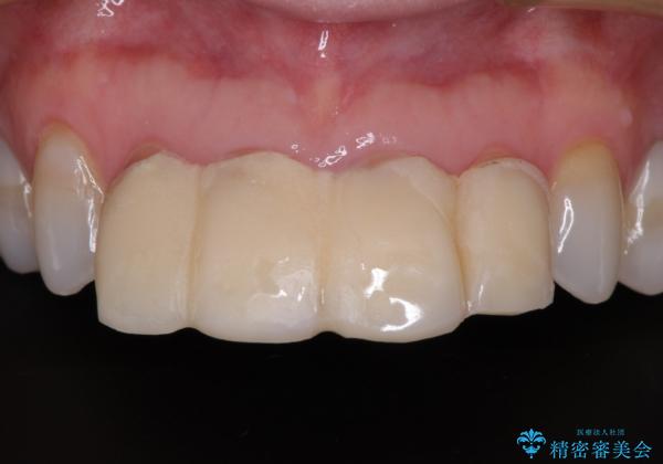
- 自宅近くの歯科医院にて前歯の詰め物が外れたことを機会に、オールセラミッククラウンへの変更を決断して4歯を仮歯に替えたものの、あまりに汚くて恥ずかしいとのことで来院された患者様です。
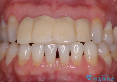
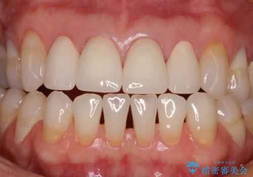
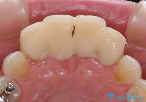
歯の形成量は不十分で形態は不自然、境目は不適で歯肉が腫れていたため、新しい仮歯に替えた後に歯肉の腫れが引くのを待ち、オールセラミッククラウンにて補綴することとしました。
- 費用(概算)
- 治療費の目安: 48万円(税込)費用は治療当時の料金となります
治療について
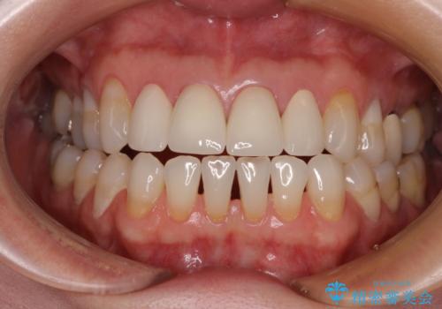
前医で仮歯を装着する前の口元の写真をいただき、咬み合わせや形態を参考にしながら仮歯で仕上がりをイメージし、最終的に満足のいくオールセラミッククラウンを装着することができました。
セラミック治療の注意事項(リスク・副作用など)
- 天然歯を削ります
- 硬い素材は天然歯を傷つけてしまう場合があります
- かみ合わせや歯ぎしりが強すぎる方はセラミックが割れてしまう可能性があります
- 自費診療(保険適用外治療)となります
当サイトの内容、テキスト、画像等の無断転載、複製、複写、盗用を固く禁じます。












