症例詳細
Case detail
欠けてしまったプラスチック オールセラミッククラウンで土台の歯を守る
治療症例の内容
- 診療科目
- 治療カテゴリ
- 担当医
- 藤巻太一朗(ドクタープロフィール)
- 患者様
- 30代女性
- 治療期間
- 1ヶ月
- 治療回数
- 2-5回
- 治療計画
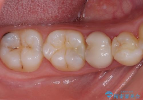
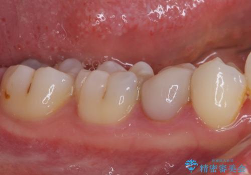
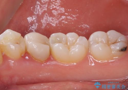
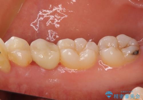
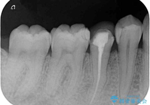
- 神経を抜く処置の後に装着したプラスチックのクラウンが外れてしまったとのことで来院された患者様です。
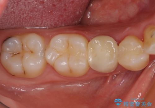
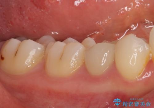
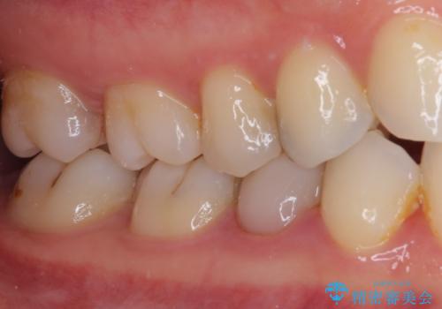
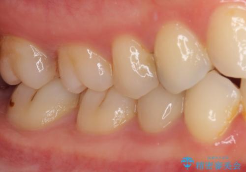
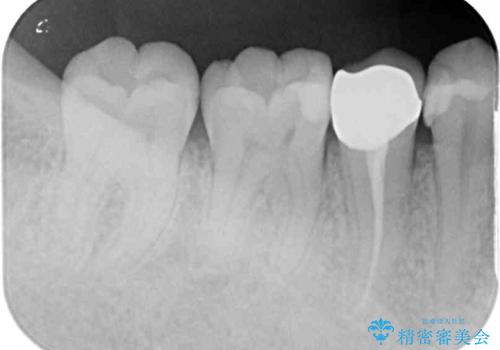
患者様自身、神経の取り除かれた歯はしっかりと製作されたクラウンを装着するべきと理解していただいていたため、オールセラミッククラウンにて補綴治療することとしました。
- 費用(概算)
- 治療費の目安: 15万円(税込)費用は治療当時の料金となります
治療について
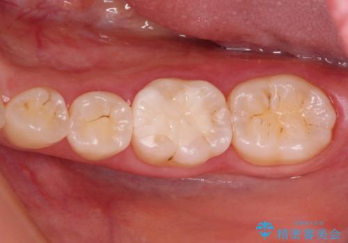
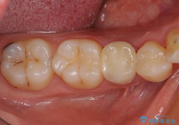
丈夫なクラウンを装着できただけでなく、形態や色調も自然に仕上げることができました。
セラミック治療の注意事項(リスク・副作用など)
- 天然歯を削ります
- 硬い素材は天然歯を傷つけてしまう場合があります
- かみ合わせや歯ぎしりが強すぎる方はセラミックが割れてしまう可能性があります
- 自費診療(保険適用外治療)となります
当サイトの内容、テキスト、画像等の無断転載、複製、複写、盗用を固く禁じます。










