症例詳細
Case detail
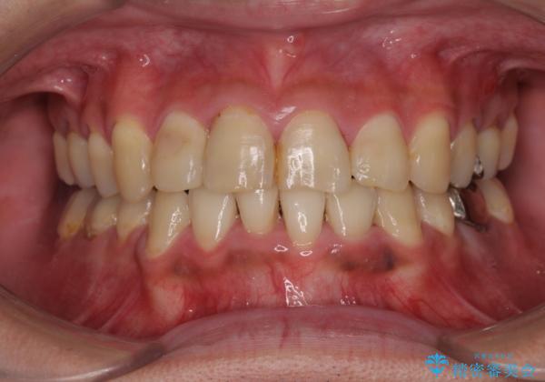
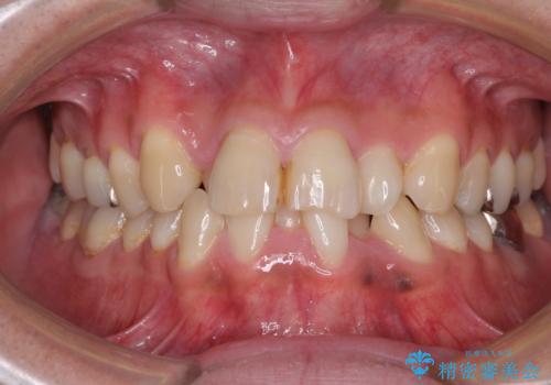
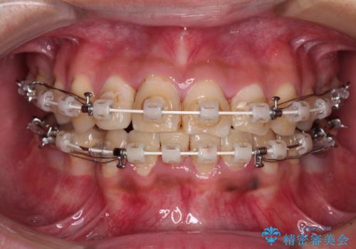
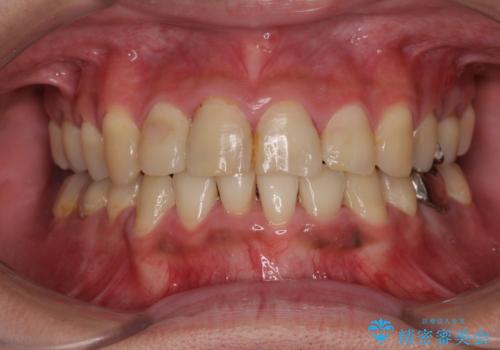
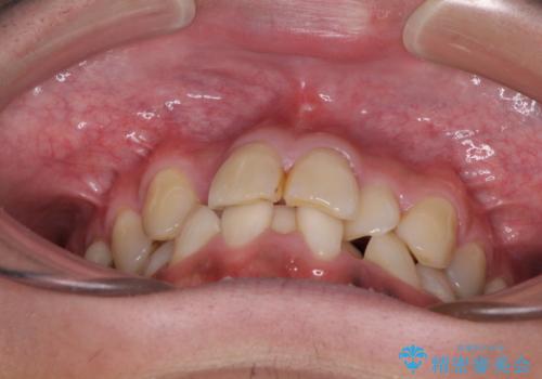
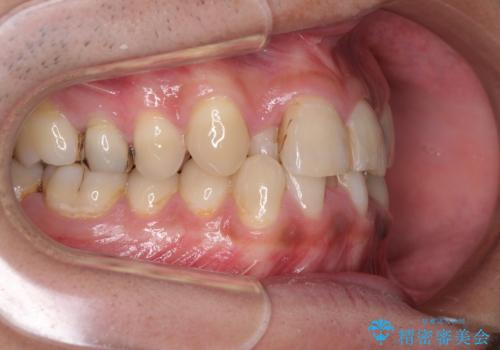
重なって磨きにくい上下の前歯 ワイヤー装置での抜歯矯正
治療症例の内容
- 担当医
- 藤巻太一朗(ドクタープロフィール)
- 患者様
- 20代男性
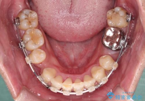
- 矯正装置
- 審美装置
- 治療期間
- 2年4ヶ月
- 治療回数
- 10-30回
- 治療計画
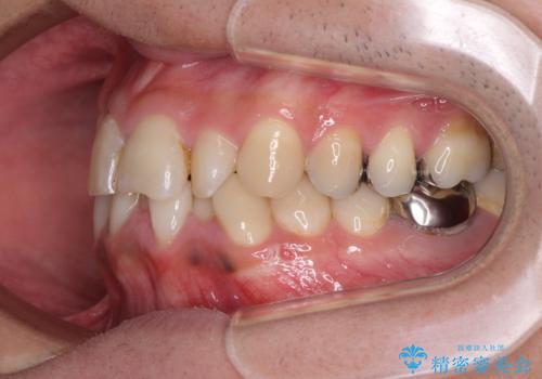
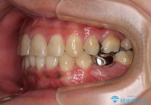
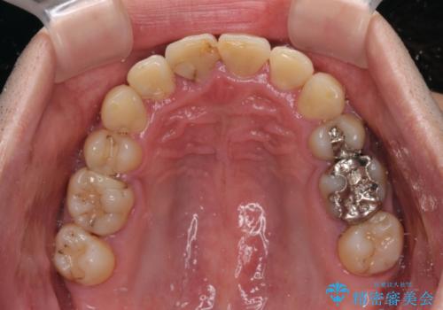
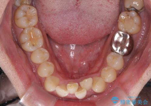
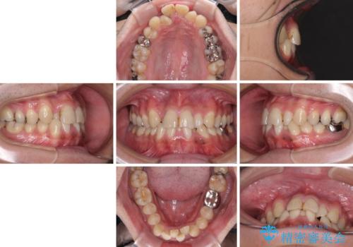
- 前歯のデコボコを改善したいと来院された患者様です。
 口元の突出感はないものの、上顎前歯のデコボコが著しかったため、上下顎左右小臼歯4本を抜歯することとしました。
 上下の正中位置を改善するため、右下は第一小臼歯を、その他は第二小臼歯を抜歯することとしました。
- 費用(概算)
- 治療費の目安: 110万円(税込)費用は治療当時の料金となります
治療について
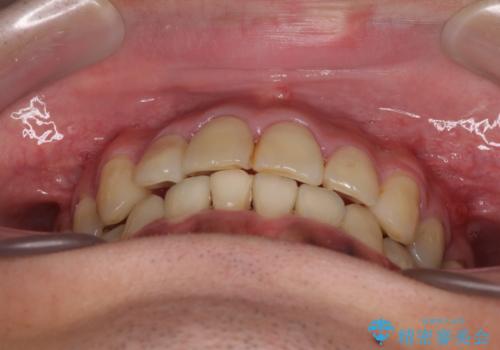
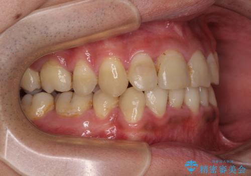
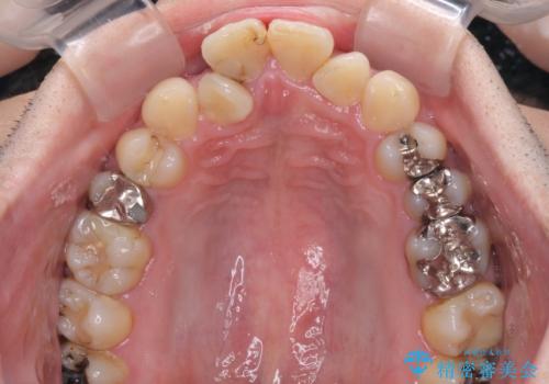
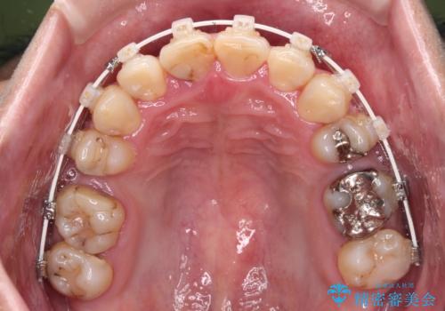
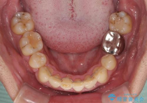
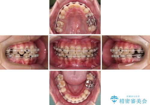
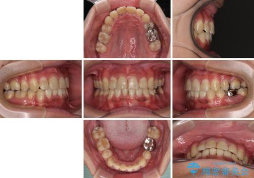
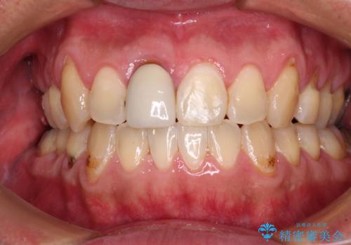
第二小臼歯抜歯の矯正治療は、治療期間が長引くことが多いですが、動きが非常に良く、予定の治療期間で終えることができました。
上下の正中も思っていた以上に良い位置に改善されました。
ワイヤー矯正の注意事項(リスク・副作用など)
- 治療中は違和感や痛みが起こることがあります
- 症状により、抜歯が必要な場合があります
- 治療中は歯磨きがしにくくなるため、虫歯や歯周病になりやすくなります
- 矯正治療後の保定が不十分だと後戻り(元の位置に戻ろうとする動き)をします
- 自費診療(保険適用外)となります
当サイトの内容、テキスト、画像等の無断転載、複製、複写、盗用を固く禁じます。








 
                       
                                                          

























 
                   
                   
                  