症例詳細
Case detail
八重歯と先天欠損の歯列 ワイヤー矯正ですっきりと
治療症例の内容
- 診療科目
- 治療カテゴリ
- 担当医
- 藤巻太一朗(ドクタープロフィール)
- 患者様
- 20代女性
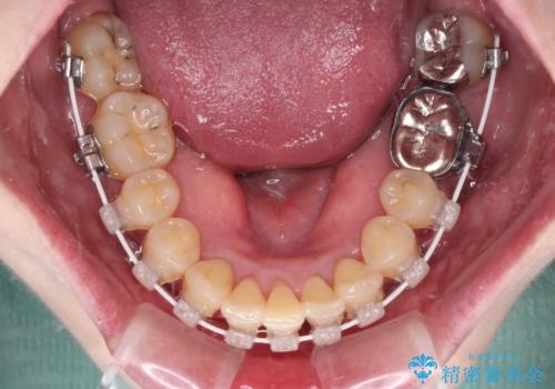
- 矯正装置
- 審美装置
- 治療期間
- 1年7ヶ月
- 治療回数
- 10-30回
- 治療計画
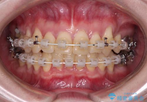
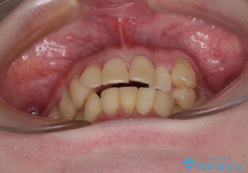
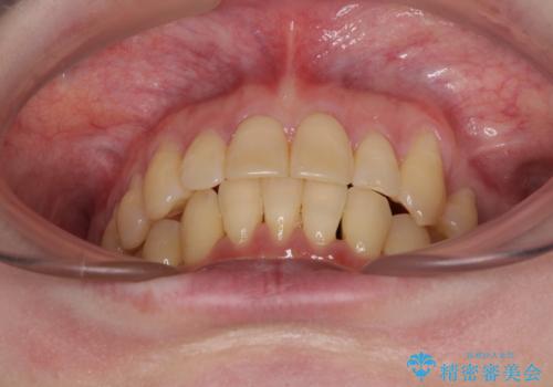
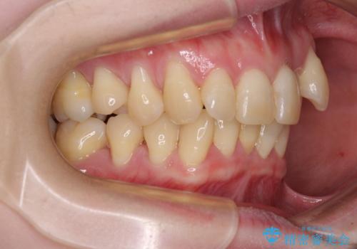
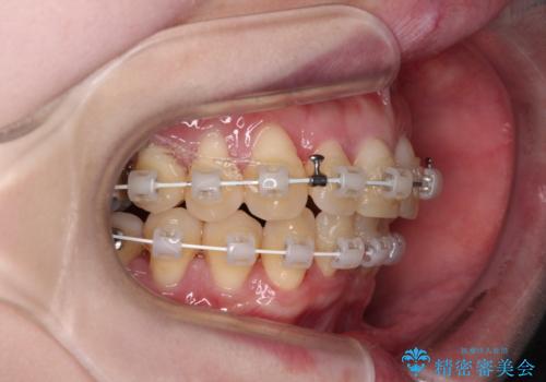
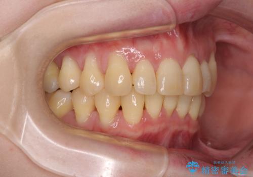
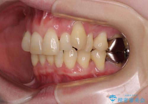
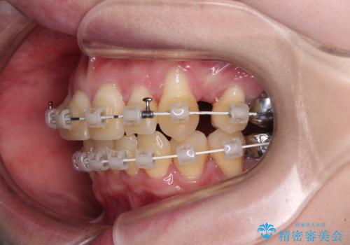
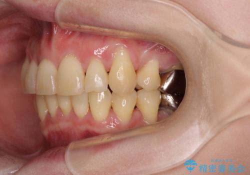
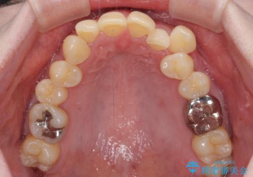
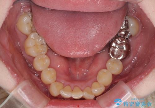
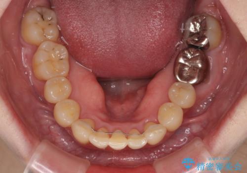
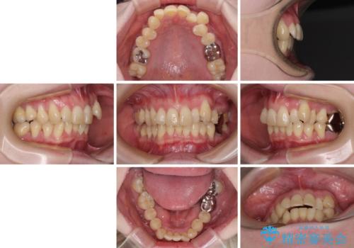
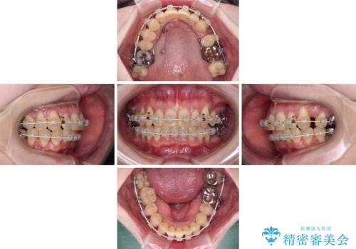
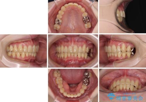
- 八重歯と正中のズレを気にして来院された患者様です。
上顎左側が八重歯になっており、上顎正中が左側にずれていました。
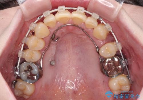
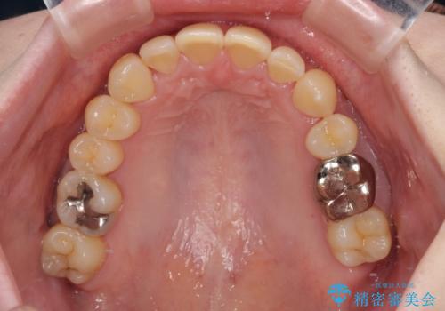
上顎左側の第一小臼歯を抜歯し、補助装置を用いて正中位置を改善しながら八重歯を解消していくこととしました。
- 費用(概算)
- 治療費の目安: 105万円(税込)費用は治療当時の料金となります
治療について
下顎前歯が1本欠損していたため、上下正中の位置が合わせるという目標はなく、鼻筋に上顎正中を合わせていくように移動を行いました。
ワイヤー矯正の注意事項(リスク・副作用など)
- 治療中は違和感や痛みが起こることがあります
- 症状により、抜歯が必要な場合があります
- 治療中は歯磨きがしにくくなるため、虫歯や歯周病になりやすくなります
- 矯正治療後の保定が不十分だと後戻り(元の位置に戻ろうとする動き)をします
- 自費診療(保険適用外)となります
当サイトの内容、テキスト、画像等の無断転載、複製、複写、盗用を固く禁じます。


























