症例詳細
Case detail
根管治療・歯周外科を行い歯を残した、複合的虫歯治療
- 患者様
- 40代女性
- 治療期間
- 9ヶ月
- 治療回数
- 5-10回
- 治療計画
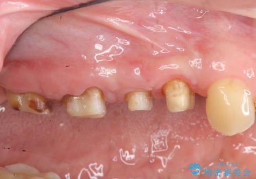
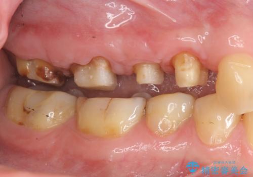
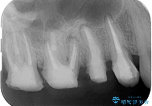
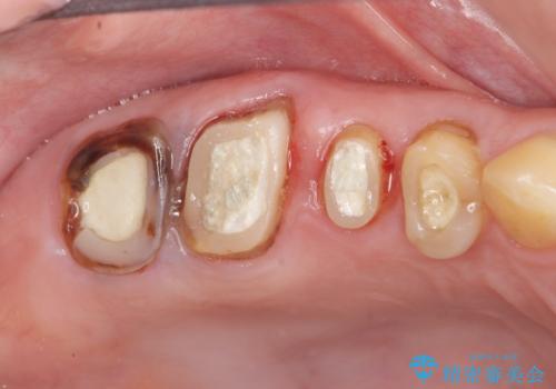
- 近医で「根尖の病変が大きく、残すことができない、歯を抜くしかない。」、と言われ歯を抜く以外の手段がないかを相談しに来院されました。
検査の結果、根管・クリアランス・虫歯といった複合的な問題が認められ、以下のような治療計画を進めることとしました。
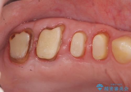
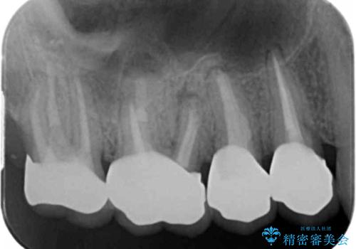
根尖病変 →マイクロスコープを用いた精密根管治療の実施
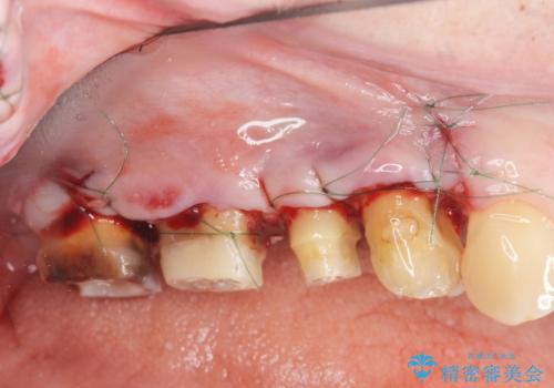
クラウンの製作スペースの付属 →歯周外科によるスペースの確保
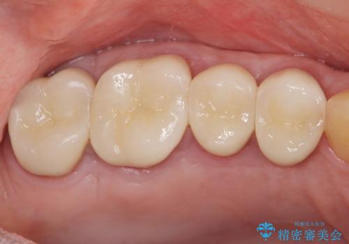
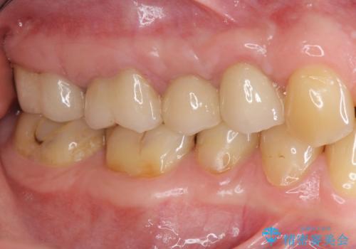
機能の回復・再感染の予防 →精密なジルコニアクラウンの作製
- 費用(概算)
- 66万円費用は治療当時の料金となります
治療について
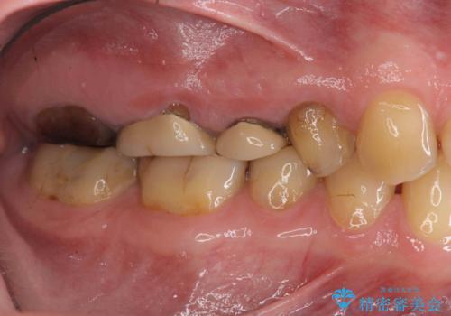
一つ一つの工程を丁寧に行うことで、根尖病変の改善傾向も見られ、安定した歯周環境を整えることができました。
セラミック治療の注意事項(リスク・副作用など)
- 天然歯を削ります
- 硬い素材は天然歯を傷つけてしまう場合があります
- かみ合わせや歯ぎしりが強すぎる方はセラミックが割れてしまう可能性があります
- 自費診療(保険適用外治療)となります
当サイトの内容、テキスト、画像等の無断転載、複製、複写、盗用を固く禁じます。


















