症例詳細
Case detail
奥歯が割れた インプラントは不向き 部分矯正後、ブリッジで治療
治療症例の内容
- 担当医
- 井上季実子(ドクタープロフィール)
- 患者様
- 50代女性
- 治療期間
- 8ヶ月
- 治療回数
- 5-10回
- 治療計画
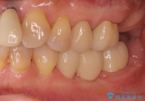
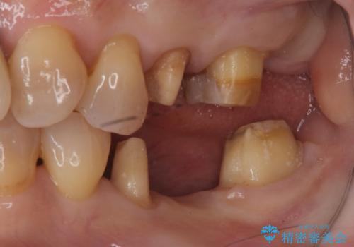
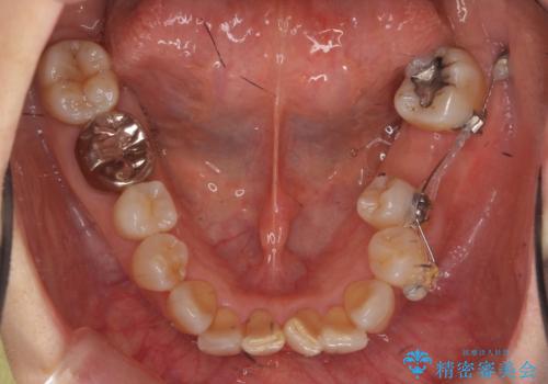
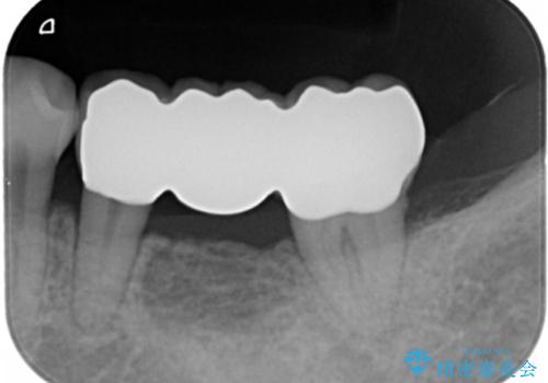
- 左下奥歯の歯ぐきの違和感で来院。
昔神経の治療をした歯が割れてしまっていました。
やむなく抜歯になりましたが、その部分にインプラントを始め希望されましたが、炎症により、骨がなく、かつ歯並びの関係で入れても歯ブラシができずにインプラントも長くもたなそうという診断になりました。
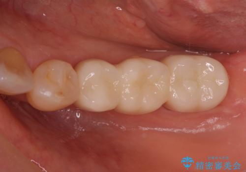
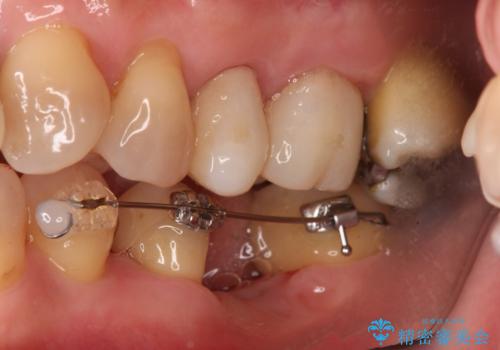
インプラントではなくブリッジにするためには、奥歯の並びを矯正しておいた方がいい状態でした。
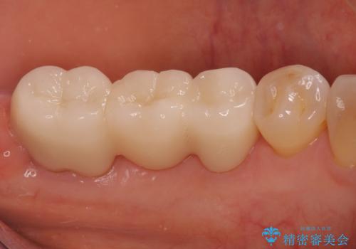
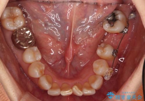
抜歯後に部分的にワイヤー矯正を半年ほど行ってから、ブリッジを入れる治療を行いました。
- 費用(概算)
- 63.8万円 左下部分矯正27.5万円 奥歯ブリッジ36.3万円(仮歯1.1万円×3本 ジルコニアクラウン11万円x3本)費用は治療当時の料金となります
治療について
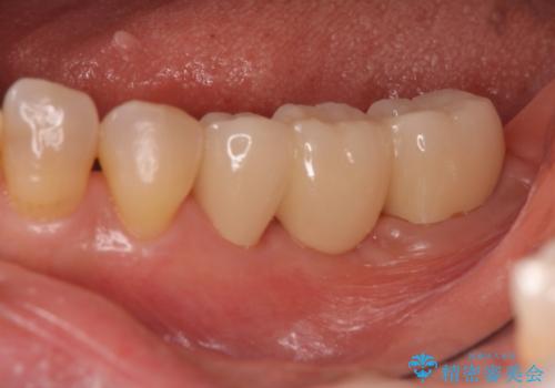
奥歯の部分矯正を行うことで、歯の傾きが良くなり、結果神経を取らずにブリッジを入れていくことができました。
通常矯正治療後は歯並びが戻らないように保定が必要ですが、ブリッジを入れているので歯並びは戻らないため保定が不要です。
部分矯正と補綴の相性は良いといえます。
セラミック治療の注意事項(リスク・副作用など)
- 天然歯を削ります
- 硬い素材は天然歯を傷つけてしまう場合があります
- かみ合わせや歯ぎしりが強すぎる方はセラミックが割れてしまう可能性があります
- 自費診療(保険適用外治療)となります
ワイヤー矯正の注意事項(リスク・副作用など)
- 治療中は違和感や痛みが起こることがあります
- 症状により、抜歯が必要な場合があります
- 治療中は歯磨きがしにくくなるため、虫歯や歯周病になりやすくなります
- 矯正治療後の保定が不十分だと後戻り(元の位置に戻ろうとする動き)をします
- 自費診療(保険適用外)となります
当サイトの内容、テキスト、画像等の無断転載、複製、複写、盗用を固く禁じます。





















