症例詳細
Case detail
汚れた仮歯が気になる 前歯のオールセラミッククラウン
治療症例の内容
- 診療科目
- 治療カテゴリ
- 担当医
- 藤巻太一朗(ドクタープロフィール)
- 患者様
- 40代女性
- 治療期間
- 3ヶ月
- 治療回数
- 2-5回
- 治療計画
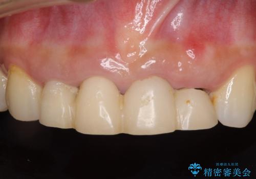
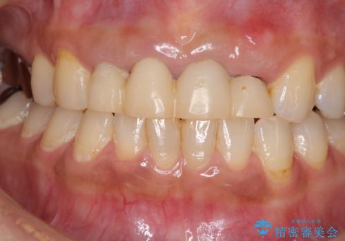
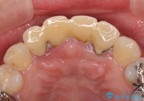
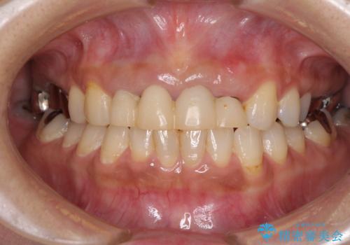
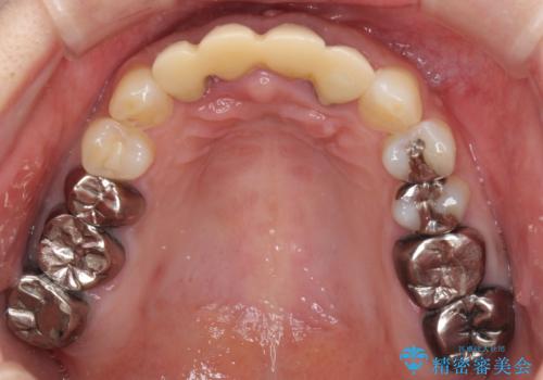
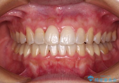
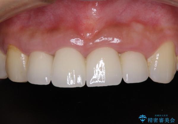
- 地元の歯科医院にて前歯4歯を仮歯に替えたものの、汚れていることが気になるとのことで来院された患者様です。
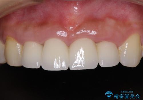
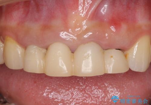
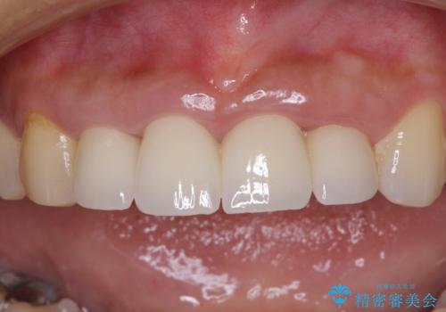
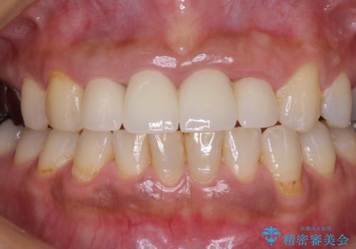
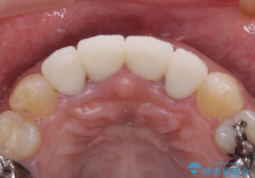
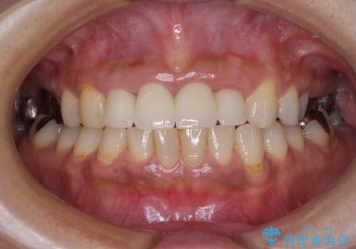
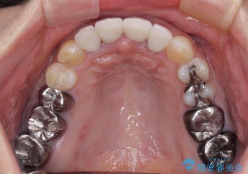
不適な仮歯の影響で歯肉が腫れていたため、新しい仮歯に替えた後に歯肉の腫れが引くのを待ち、オールセラミッククラウンにて補綴することとしました。
根尖病変が原因で、膿が出てきている歯があったため、仮歯を置き換える際に根管治療を行うこととしました。
- 費用(概算)
- 治療費の目安: 60万円(税込)費用は治療当時の料金となります
治療について
仮歯を変えたことで歯肉の腫れは引き、根管治療も功を奏して膿の出口はきれいに消退しました。
セラミック治療の注意事項(リスク・副作用など)
- 天然歯を削ります
- 硬い素材は天然歯を傷つけてしまう場合があります
- かみ合わせや歯ぎしりが強すぎる方はセラミックが割れてしまう可能性があります
- 自費診療(保険適用外治療)となります
根管治療の注意事項(リスク・副作用など)
- 根管治療により類似の全ての症例の問題が解決するわけではなく、症例はあくまでも一例です
- 根管治療により痛みや腫れがひかない事や、術後に痛みや腫れが生じる事、治療によるファイル破折やパーフォレーションなどの偶発症、術後の歯根破折を生じる可能性もあります
- 自費診療(保険適用外)となります
当サイトの内容、テキスト、画像等の無断転載、複製、複写、盗用を固く禁じます。














