症例詳細
Case detail
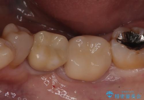
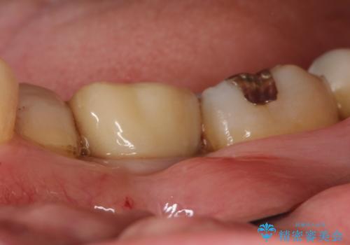
メタルインレーの下は。クラックラインを認めた歯。
治療症例の内容
- 診療科目
- 治療カテゴリ
- 担当医
- 河口智英(ドクタープロフィール)
- 患者様
- 50代男性
- 治療期間
- 1ヶ月
- 治療回数
- 2-5回
- 治療計画
- 定期検診にて、奥歯にクラックラインを認めました。
放置すると、抜歯になる可能性も高いため早めの治療を提案し、クラウンにて修復治療を行なっております。
- 費用(概算)
- 11万円費用は治療当時の料金となります
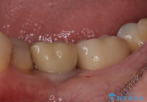
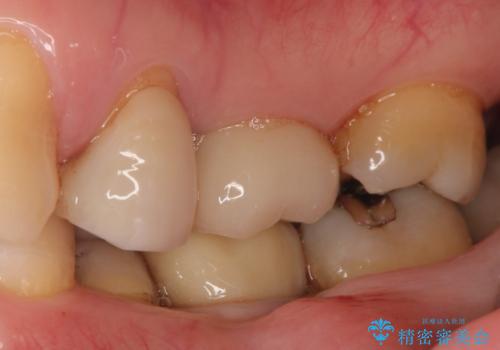
治療について
術前説明にてクラックラインを認めることや治療の選択肢及び予後について理解していただいた上で、保存を希望されております。歯髄症状が出なかったため抜髄はせずに治療を完了しております。
セラミック治療の注意事項(リスク・副作用など)
- 天然歯を削ります
- 硬い素材は天然歯を傷つけてしまう場合があります
- かみ合わせや歯ぎしりが強すぎる方はセラミックが割れてしまう可能性があります
- 自費診療(保険適用外治療)となります
当サイトの内容、テキスト、画像等の無断転載、複製、複写、盗用を固く禁じます。













