症例詳細
Case detail
吸収し喪失した前歯、ブリッジによる審美性の回復
治療症例の内容
- 診療科目
- 治療カテゴリ
- 担当医
- 大元洋佑(ドクタープロフィール)
- 患者様
- 20代女性
- 治療期間
- 6ヶ月
- 治療回数
- 5-10回
- 治療計画
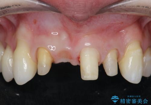
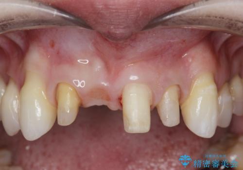
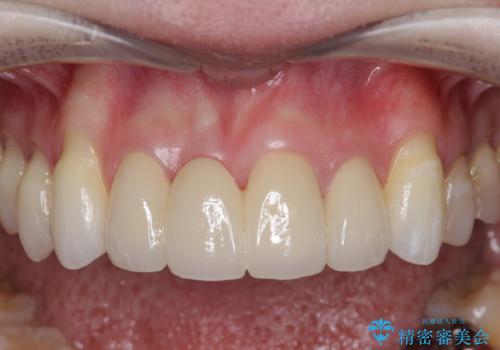
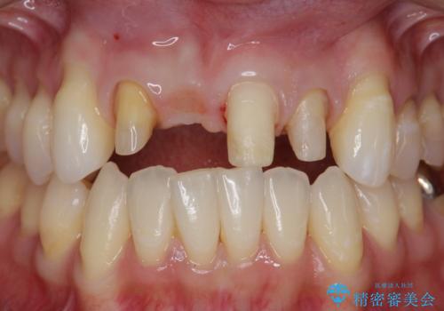
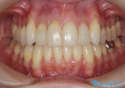
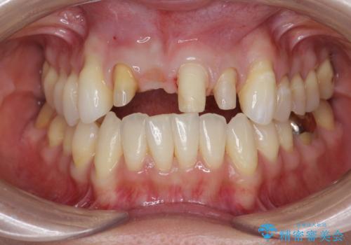
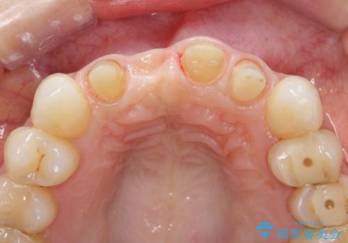
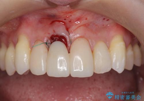
- 前医に前歯の吸収による抜歯の必要性を伝えられ、前歯の審美的な改善・治療を求めて来院されました。
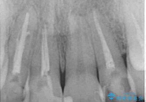
CT撮影を行った結果、右上前歯は吸収が進み抜歯が必要な状態です、
抜歯をせず放置すると、より吸収が進み臨在する歯にも悪影響を及ぼしてしまう可能性が考えられます。
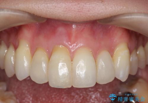
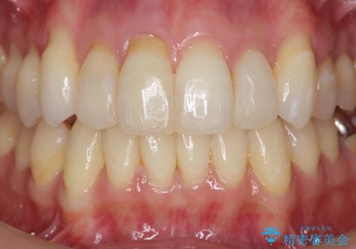
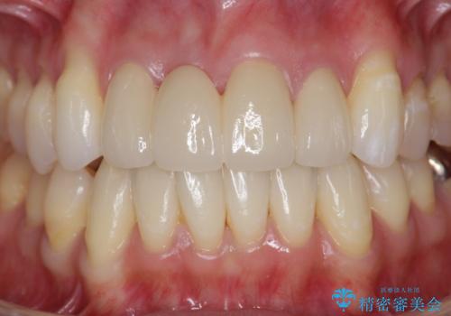
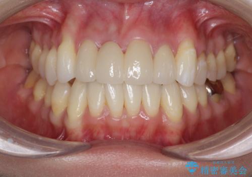
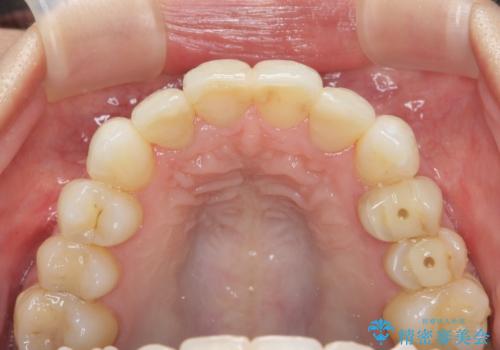
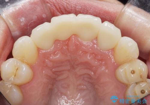
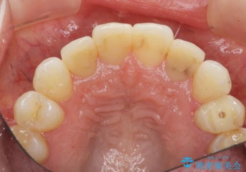
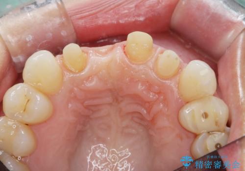
上顎4前歯は、根管治療の既往があり、虫歯も見られたことからブリッジによる治療で審美性の回復を行うとともに臨在歯の虫歯もセラミック治療を行っていきます。
- 費用(概算)
- 44万円(仮歯・ジルコニアクラウン×4)費用は治療当時の料金となります
ブリッジ治療について
欠損部の歯ぐきの量が足りない場合は、移植を行い歯肉を増大させることもありますが、今回は仮歯で様子を見た結清掃性・審美性に問題が出なかったので行いませんでした。
セラミック治療の注意事項(リスク・副作用など)
- 天然歯を削ります
- 硬い素材は天然歯を傷つけてしまう場合があります
- かみ合わせや歯ぎしりが強すぎる方はセラミックが割れてしまう可能性があります
- 自費診療(保険適用外治療)となります
当サイトの内容、テキスト、画像等の無断転載、複製、複写、盗用を固く禁じます。




























