症例詳細
Case detail
インプラントや歯周外科処置を用いた奥歯の補綴治療
治療症例の内容
- 患者様
- 40代女性
- 治療期間
- 2年6ヶ月
- 治療回数
- 10-30回
- 治療計画
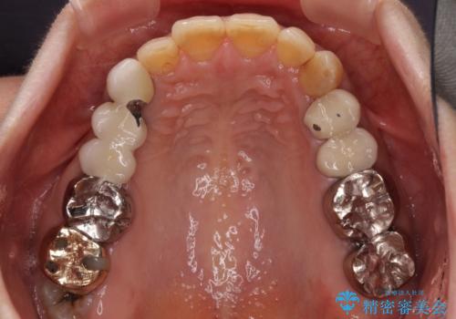
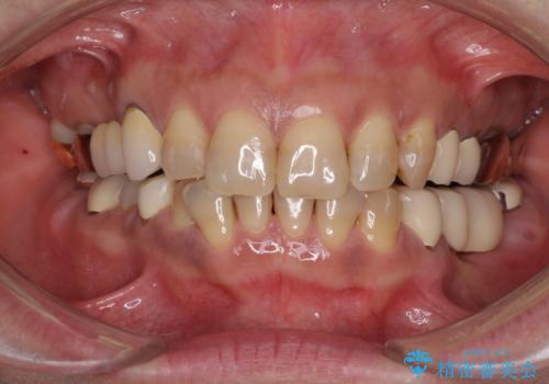
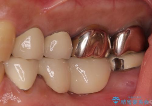
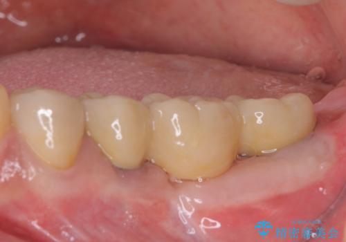
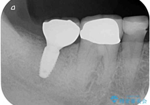
- 下顎の左右奥歯が痛みがあり、噛めないとのことで来院された患者様です。
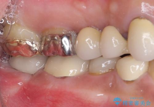
左右ともに歯根が破折しており、抜歯が必要であったため、抜歯後にインプラント補綴治療を行うこととしました。
左側は骨欠損が著しいことが予想されるため、骨造成術並びに歯肉移植術を併用することとしました。
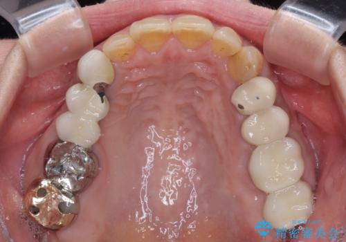
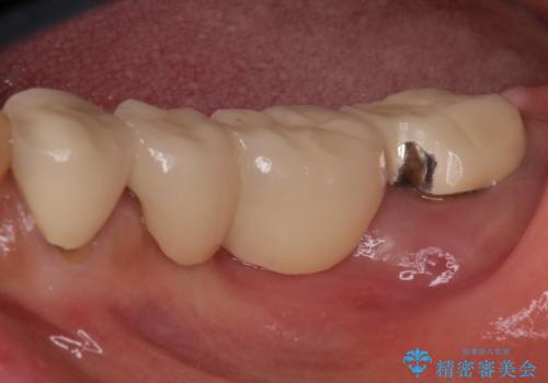
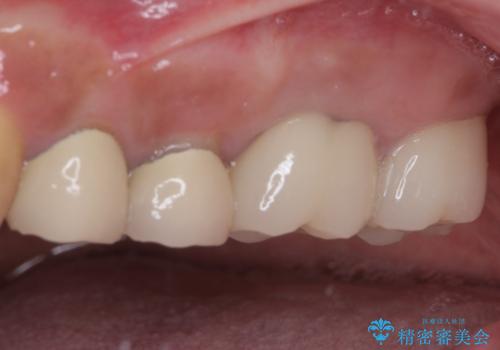
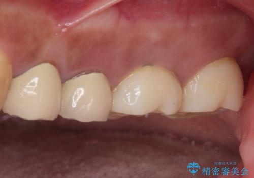
左上は当初治療予定ではありませんでしたが、クラウンの周りに汚れがたまっていることが気になってきたため、追加して治療を行うこととしました。
歯肉縁下にまで虫歯が及んでいたため、歯冠長延長術を行い、清掃性の改善を試みます。
- 費用(概算)
- 治療費の目安: 200万円(税込)費用は治療当時の料金となります
治療について
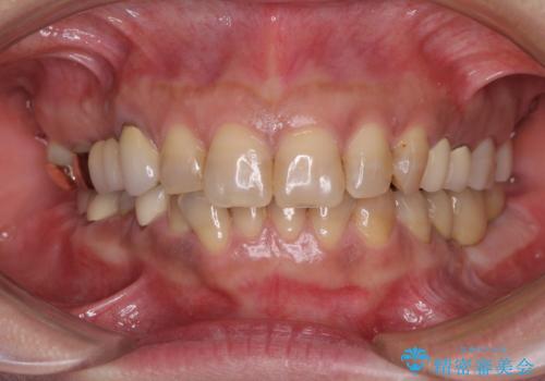
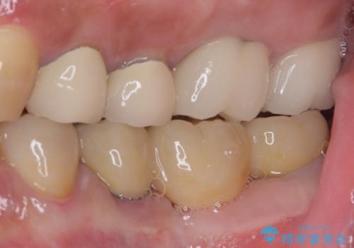
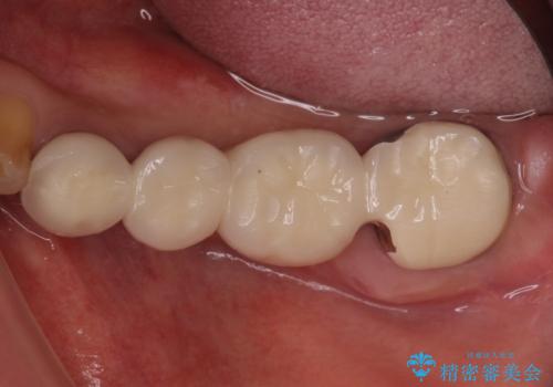
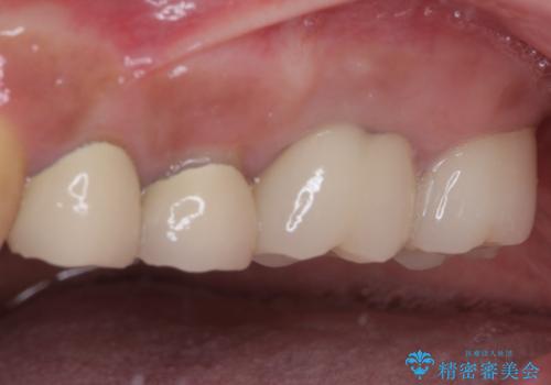
仮歯がない状態を極力避けたいとのことで、外科処置を少しずつ進めていくことになり、治療期間は2年間を要しました。
治療後は痛みなどなく、快適に噛めるようになりました。
インプラント治療の注意事項(リスク・副作用など)
- 外科手術のため、術後に痛みや腫れ、違和感を伴います
- メンテナンスを怠ったり喫煙により、お口の中に大きな悪影響を及ぼすインプラント周囲炎等にかかる可能性があります
- 糖尿病、肝硬変、心臓病等の場合、インプラント治療ができない可能性があります
- 高血圧、貧血・不整脈等の場合、インプラント治療後に治癒不全を招く可能性があります
- 自費診療(保険適用外治療)となります
外科処置の注意事項(リスク・副作用など)
- 外科手術のため、術後に出血、痛みや腫れ、違和感を伴います
- 口腔内の状態によっては適応できないことがあります
セラミック治療の注意事項(リスク・副作用など)
- 天然歯を削ります
- 硬い素材は天然歯を傷つけてしまう場合があります
- かみ合わせや歯ぎしりが強すぎる方はセラミックが割れてしまう可能性があります
- 自費診療(保険適用外治療)となります
当サイトの内容、テキスト、画像等の無断転載、複製、複写、盗用を固く禁じます。





































