症例詳細
Case detail
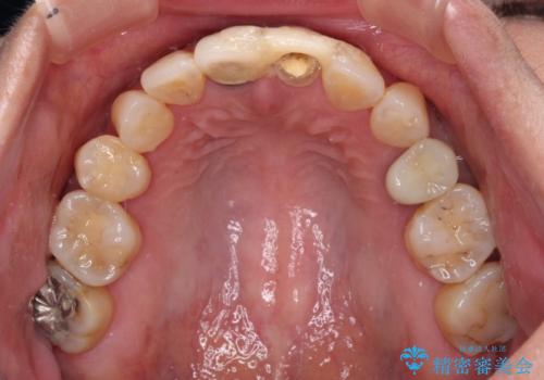
見栄えの悪い仮歯 前歯のオールセラミック治療
治療症例の内容
- 診療科目
- 担当医
- 藤巻太一朗(ドクタープロフィール)
- 患者様
- 50代女性
- 治療期間
- 8ヶ月
- 治療回数
- 2-5回
- 治療計画
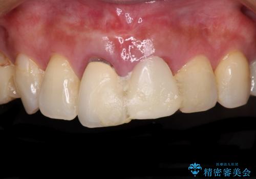
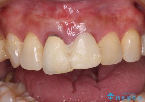
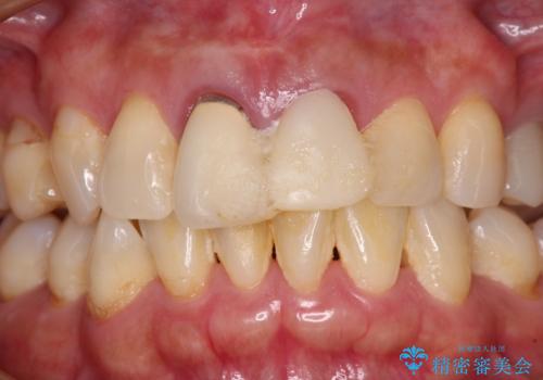
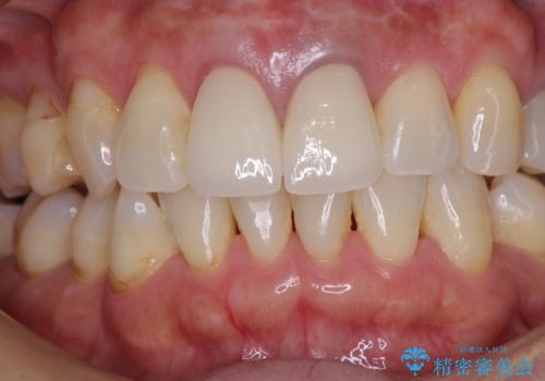
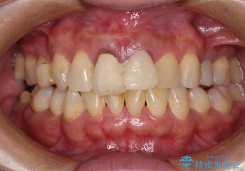
- 治療中の前歯の仮歯がひどい状態であるとのことで来院された患者様です。
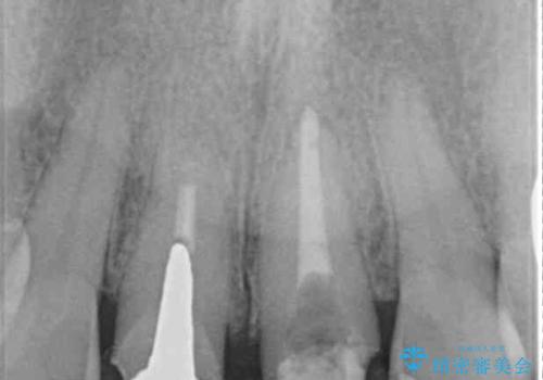
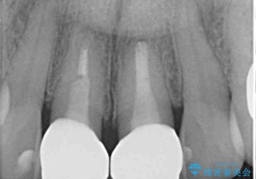
治療中の前歯は根管治療の途中であり、根尖部に痛みを感じる状態でした。
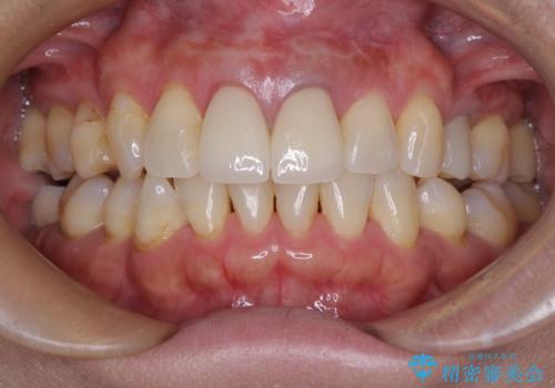
まずは審美的な仮歯を装着し、根管治療を行った後にオールセラミッククラウンにて補綴治療を行うこととしました。
- 費用(概算)
- 治療費の目安: 45万円(税込)費用は治療当時の料金となります
治療について
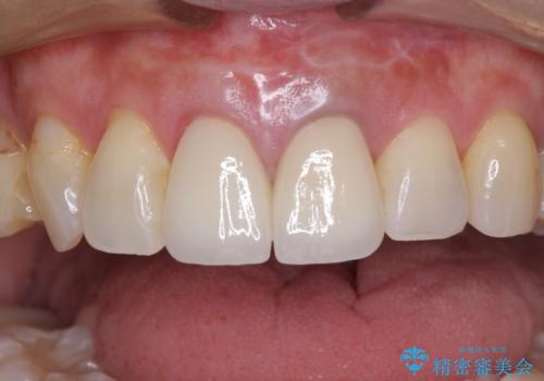
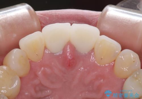
根管治療後に痛みは軽減しましたが、僅かな痛みが続くとのことで、レントゲン写真では病変は認められなかったものの、歯根端切除を行うこととしました。処置後は痛みは全くなくなり、安心して補綴治療を行うことができました。
根管治療の注意事項(リスク・副作用など)
- 根管治療により類似の全ての症例の問題が解決するわけではなく、症例はあくまでも一例です
- 根管治療により痛みや腫れがひかない事や、術後に痛みや腫れが生じる事、治療によるファイル破折やパーフォレーションなどの偶発症、術後の歯根破折を生じる可能性もあります
- 自費診療(保険適用外)となります
セラミック治療の注意事項(リスク・副作用など)
- 天然歯を削ります
- 硬い素材は天然歯を傷つけてしまう場合があります
- かみ合わせや歯ぎしりが強すぎる方はセラミックが割れてしまう可能性があります
- 自費診療(保険適用外治療)となります
当サイトの内容、テキスト、画像等の無断転載、複製、複写、盗用を固く禁じます。
















