症例詳細
Case detail
【セラミッククラウン】インレーが外れた。
治療症例の内容
- 診療科目
- 治療カテゴリ
- 担当医
- 河口智英(ドクタープロフィール)
- 患者様
- 40代女性
- 治療期間
- 2ヶ月
- 治療回数
- 2-5回
- 治療計画
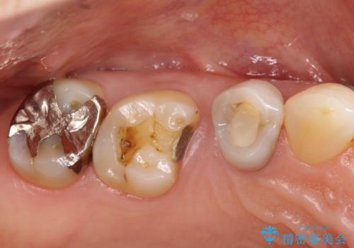
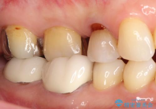
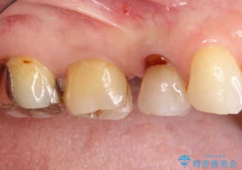
- 以前詰めた、インレーが外れたことを主訴に来院されました。
隣の歯にも虫歯を認めたためまとめて治療を行いました。
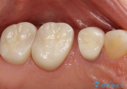
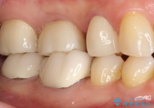
辺縁隆線にクラックラインを認め、破折防止のためにクラウンによる治療を希望されました。
- 費用(概算)
- 37万円費用は治療当時の料金となります
治療について
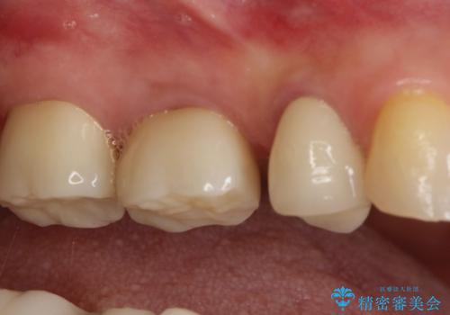
歯間空隙は、患者様と相談した清掃性を考慮し、結果的に残すこととなりました。
セラミック治療の注意事項(リスク・副作用など)
- 天然歯を削ります
- 硬い素材は天然歯を傷つけてしまう場合があります
- かみ合わせや歯ぎしりが強すぎる方はセラミックが割れてしまう可能性があります
- 自費診療(保険適用外治療)となります
当サイトの内容、テキスト、画像等の無断転載、複製、複写、盗用を固く禁じます。









