症例・治療例紹介
Cases
最新の症例
定期的にPMTCで口元ケアを
担当医 歯科衛生士


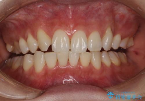
インビザライン アタッチメント設定前のPMTC
担当医 歯科衛生士


30分のPMTCで前歯の着色落とし
担当医 歯科衛生士


3年ぶりに歯科医院でお掃除 PMTC
担当医 歯科衛生士


銀歯をセラミックに


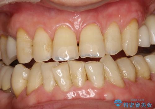
ワイヤー矯正中のPMTCで虫歯・歯周病・口臭予防
担当医 歯科衛生士


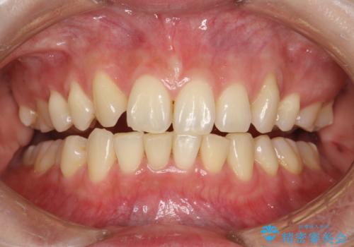
セラミック矯正 気になる前歯の歯並びの改善


オールセラミッククラウン セラミックインレー 銀歯を白い歯へ


オールセラミッククラウン 痛みが治まらない歯の治療


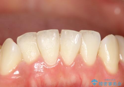
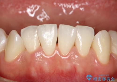
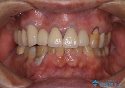
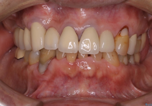
[ 歯ぐきの黒ずみ ] ジルコニアクラウンによる審美改善
担当医 大元洋佑
![[ 歯ぐきの黒ずみ ] ジルコニアクラウンによる審美改善の症例 治療前](https://seimitsushinbi.jp/wp/wp-content/uploads/2020/10/8184391a60d92517dda0de9e37d9bedb-500x350.jpg?v=1602992869)
![[ 歯ぐきの黒ずみ ] ジルコニアクラウンによる審美改善の症例 治療後](https://seimitsushinbi.jp/wp/wp-content/uploads/2020/10/b3f127e7f73c2a747e623722a1c91e8a-500x350.jpg?v=1602992891)
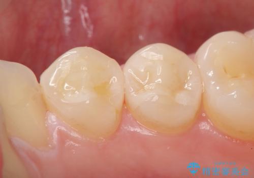
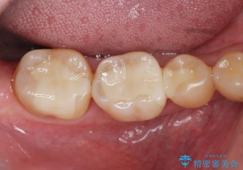
セラミックインレー 銀歯を白い歯へ


半年ぶりのクリーニング PMTC
担当医 歯科衛生士








