症例・治療例紹介
Cases
最新の症例
放置した虫歯の治療 親知らずの手前が虫歯


invisalign矯正治療中のPMTC 歯のクリーニング
担当医 歯科衛生士


PMTCとホワイトニング
担当医 歯科衛生士


定期健診で歯のクリーニング PMTC
担当医 歯科衛生士


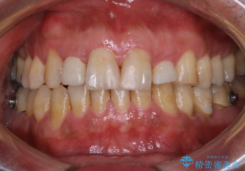
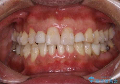
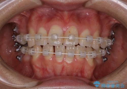
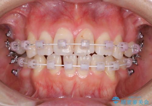
ワイヤー矯正中のPMTC
担当医 歯科衛生士


奥歯の目立つ銀歯が気になる 奥歯のセラミッククラウン


歯と歯の間の着色除去
担当医 歯科衛生士


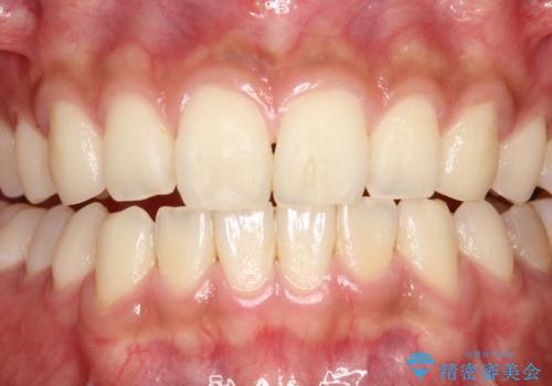
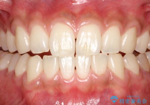
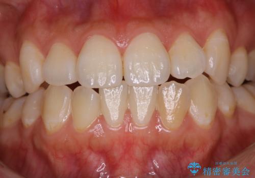
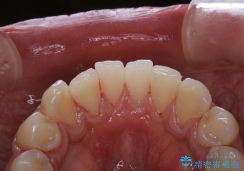
前歯のデコボコを治したい インビザラインによる矯正治療


親知らずを抜く前にPMTC
担当医 歯科衛生士


インビザラインでの矯正治療前にPMTCで歯のクリーニング
担当医 歯科衛生士


コーヒー紅茶によるステインをPMTCでキレイに
担当医 歯科衛生士


磨きにくい奥歯の歯磨き指導とPMTC
担当医 歯科衛生士








