症例・治療例紹介
Cases
最新の症例
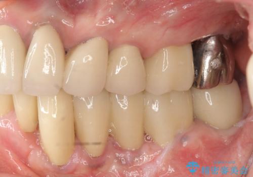
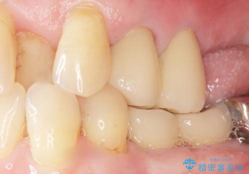
少ない残存歯質 抜歯ギリギリの歯を残す
担当医 大元洋佑


奥歯にフロスを通すと臭い 30代女性


憧れの芸能人のような白い歯に 30代男性


歯磨き中に血が出る PMTCで歯石除去
担当医 歯科衛生士


invisalignでのマウスピース矯正中もきれいな口元に
担当医 歯科衛生士


インビザライン中に見える所だけ綺麗にしたい
担当医 歯科衛生士


ワイヤー矯正治療中に気になる口臭をPMTCで予防
担当医 歯科衛生士


ホワイトニング前にPMTC
担当医 歯科衛生士


毎日のマスク着用により感じる口臭をPMTCで予防
担当医 歯科衛生士


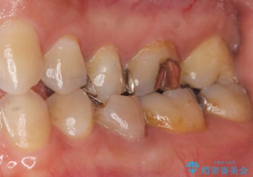
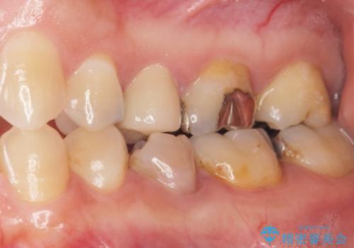
奥歯の違和感 再根管治療 40代女性


PMTCで歯の表面の着色をきれいに除去。
担当医 歯科衛生士


歯ぐきを押すと痛い 神経が死んでいる歯の治療 40代女性


被せ物がはずれたまま放置していた 20代女性



![[ 前歯ジルコニアブリッジ ] 前歯の突き上げによる歯牙破折の症例 治療前](https://seimitsushinbi.jp/wp/wp-content/uploads/2021/06/f904661310d60a2ed5a2438a66ca98be-500x350.jpg?v=1624846917)
![[ 前歯ジルコニアブリッジ ] 前歯の突き上げによる歯牙破折の症例 治療後](https://seimitsushinbi.jp/wp/wp-content/uploads/2021/06/9c81c4afd2bc237f49e5d4c87c00bff1-500x350.jpg?v=1624846972)

