症例・治療例紹介
Cases
最新の症例
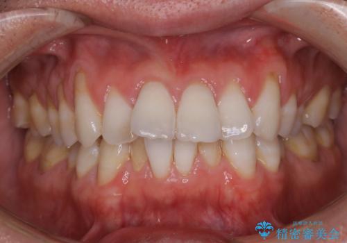
矯正治療前にホワイトニング
担当医 歯科衛生士


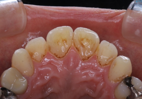
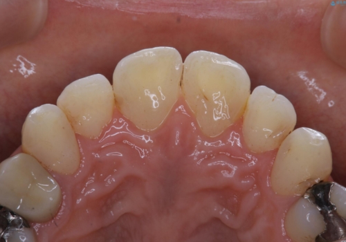
虫歯や歯周病予防のためにクリーニングを(PMTC)
担当医 歯科衛生士


ホワイトニング。前歯のセラミックの被せ物に色見を合わせる
担当医 歯科衛生士


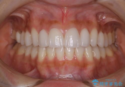
【オールセラミッククラウン】前歯の被せ物
担当医 河口智英


【メタルフリー】オールセラミッククラウン
担当医 河口智英


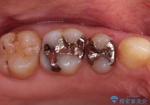
【再根管治療】オールセラミッククラウンによる修復


ラミネートベニアがかけた。オールセラミッククラウンで修復
担当医 河口智英


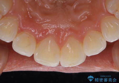
マウスピース矯正(インビザライン)中のPMTC
担当医 歯科衛生士


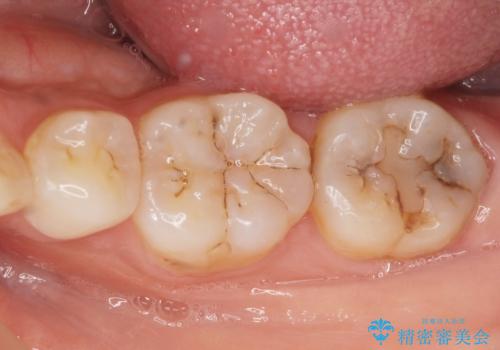
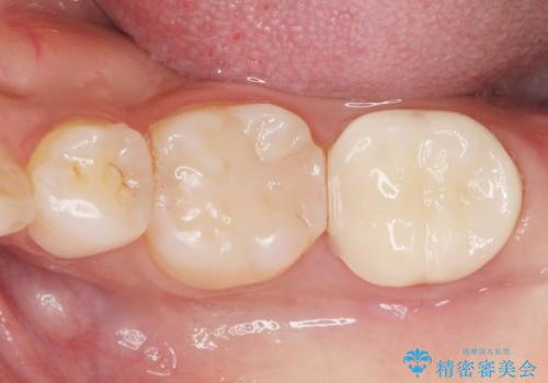
奥歯が黒い セラミッククラウンで綺麗に 30代女性


上の入れ歯がゆるくてはずれやすい 適合の良い金属床義歯 70代女性


歯のクリーニング(PMTC)
担当医 歯科衛生士


オフィスホワイトニングで白い歯に
担当医 歯科衛生士


定期的にクリーニングを(PMTC)
担当医 歯科衛生士


インビザライン中の歯石取り
担当医 歯科衛生士




