症例・治療例紹介
Cases
Dr. 有澤哲郎の症例写真
4ページ目 / 5
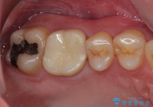
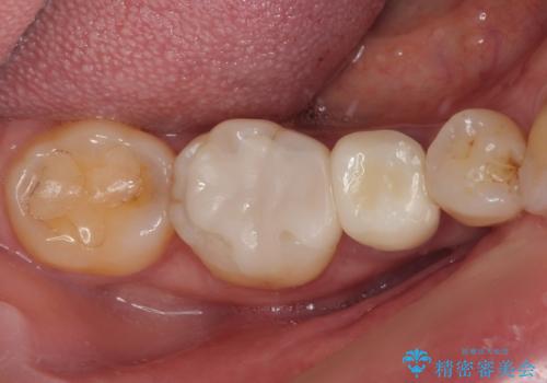
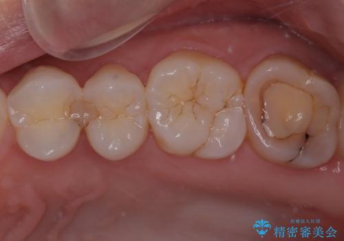
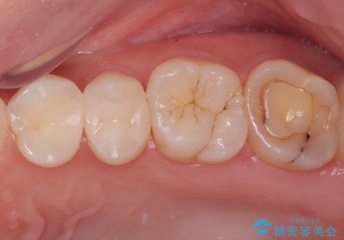
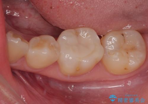
銀歯をやり替えたい フルジルコニアクラウン・ゴールドインレー修復


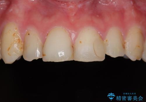
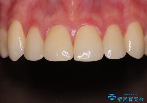
上の前歯の色味が気になる オールセラミッククラウン
担当医 有澤哲郎


前歯の黄色味が気になる オールセラミッククラウン(スペシャル)
担当医 有澤哲郎


銀歯が何度も外れる オールセラミッククラウン
担当医 有澤哲郎


セラミックの詰め物が欠けたのでやり替えたい オールセラミッククラウン
担当医 有澤哲郎


銀歯のところがしみる オールセラミッククラウン
担当医 有澤哲郎


歯が割れた オールセラミッククラウン
担当医 有澤哲郎


詰め物の下に虫歯があると言われた オールセラミッククラウン
担当医 有澤哲郎


金属の詰め物が取れたので白くしたい オールセラミッククラウン
担当医 有澤哲郎














