症例・治療例紹介
Cases
歯科衛生士の症例写真
7ページ目 / 49
歯の着色を除去し、きれいな歯に!
担当医 歯科衛生士


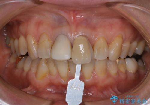
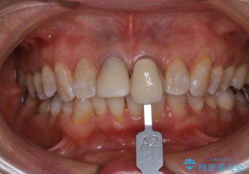
エクセレントコース2回で白い被せ物と同じ色見になった(オフィスホワイトニング)
担当医 歯科衛生士


ワイヤー矯正中はたった1ヶ月でとても汚れがたまる
担当医 歯科衛生士


クリーニングにより黄ばみがとれた
担当医 歯科衛生士


お口の中全体にプラーク(歯垢)が付着している方のクリーニンング
担当医 歯科衛生士


矯正中に患者様で治療と一緒にクリーニング(PMTC30分)
担当医 歯科衛生士


全体的にプラーク(歯垢)付着の患者様(PMTC30分コース)
担当医 歯科衛生士


プラークを除去することによって歯の面のツヤ感が復活(PMTC30分コース)
担当医 歯科衛生士


コーヒーを多く飲むインビザライン矯正中の患者様のクリーニング
担当医 歯科衛生士


ワイヤー矯正中のクリーニング
担当医 歯科衛生士


10年ぶりの歯医者、初めてのクリーニング
担当医 歯科衛生士


インビザライン中の方へブラッシング指導
担当医 歯科衛生士


数年ぶりに歯科医院に来た 歯を綺麗にしたい
担当医 歯科衛生士






