症例・治療例紹介
Cases
歯科衛生士の症例写真
6ページ目 / 49
インビザライン中の着色を落とす
担当医 歯科衛生士


クリーニングで虫歯の進行をストップ
担当医 歯科衛生士


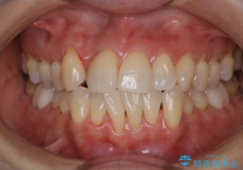
矯正を終えた患者様のクリーニング
担当医 歯科衛生士


ワイヤーの調整日と一緒にクリーニングを
担当医 歯科衛生士


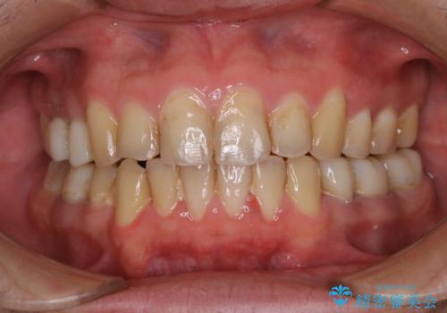
マウスピースをしたままコーヒーを飲むと着色がすごい
担当医 歯科衛生士


インビザライン中とインビザライン後のbefore、afterのクリーニング
担当医 歯科衛生士


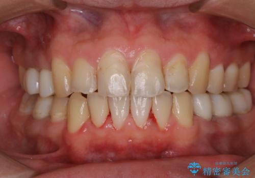
着色落としはPMTCを
担当医 歯科衛生士


インビザラインのマウスピース発注待ち時、クリーニングおすすめ
担当医 歯科衛生士


虫歯のチェックはクリーニングをしてから(PMTC)
担当医 歯科衛生士


着色落としにはPMTCを
担当医 歯科衛生士


矯正スタート前のクリーニング(PMTC)
担当医 歯科衛生士


PMTC30分コース(着色、プラーク、歯石、食べかす)
担当医 歯科衛生士


インビザライン矯正中のクリーニング
担当医 歯科衛生士






