症例詳細
Case detail
初めてのオフィスホワイトニング
治療症例の内容
- 診療科目
- 治療カテゴリ
- 患者様
- 20代女性
- 治療期間
- 1日
- 治療回数
- 1回
- 治療計画
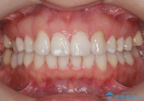
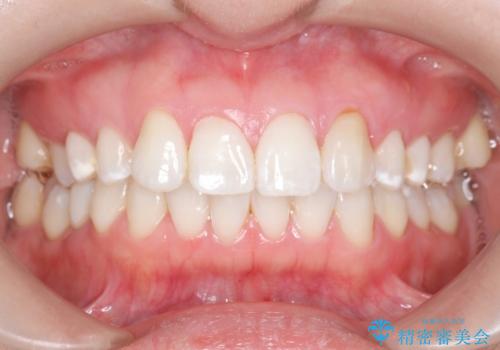
- 今までホワイトニングに興味があり、当院のホワイトニングの種類をご説明後、今回初めてのオフィスホワイトニングをされることになりました。
- 費用(概算)
- 処置前クリーニング込み エクセレントコース 33,000円(税込)費用は治療当時の料金となります
担当衛生士 福田
ホワイトニング前に歯の表面はクリーニングをしてあげた方が、ご自身の歯に直接ジェルを塗布できてより効果的に歯を白くすることができます。
ホワイトニングの注意事項(リスク・副作用など)
- 知覚過敏が出ることがあります
- ホワイトバンドや白い斑点が出ることがあります
- クラウンやインレー等の補綴物には効果がありません
- ホワイトニングによる効果や持続期間には個人差があります
- 歯牙の状態によっては適応できないことがあります
- 保険適用外となります
当サイトの内容、テキスト、画像等の無断転載、複製、複写、盗用を固く禁じます。


