症例・治療例紹介
Cases
Dr. 藤巻太一朗の症例写真
70ページ目 / 108
軽度な歯列不正 インビザライン・ライトによる矯正治療
担当医 藤巻太一朗


狭い上顎骨を拡大 急速拡大装置を併用したインビザライン矯正


インビザラインによる矯正治療 カリエールディスタライザーを用いた奥歯の咬み合わせ改善
担当医 藤巻太一朗


スッキリとした口元へ 出っ歯の抜歯矯正


狭い上顎骨を拡大 著しい叢生を抜歯矯正で改善
担当医 藤巻太一朗


前歯のデコボコ ワイヤー装置での短期間治療
担当医 藤巻太一朗


口が閉じにくい インビザラインによる矯正治療
担当医 藤巻太一朗


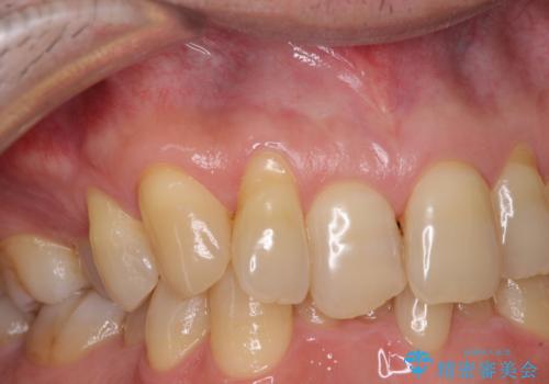
歯根が露出している歯の歯肉移植 根面被覆術
担当医 藤巻太一朗


八重歯の抜歯矯正 補助装置を用いたインビザライン矯正
担当医 藤巻太一朗


気がついたら歯が欠けていた 奥歯のセラミック補綴


前歯の奇形歯 オールセラミッククラウンによる審美歯科治療


気になる前歯のデコボコをインビザラインで解消
担当医 藤巻太一朗


費用を抑えた抜歯矯正 口元の突出感の改善


歯並びと目立つ金属を治したい 総合歯科治療


かけて金属の見えてしまったセラミック 強化セラミックでの補綴治療


