症例・治療例紹介
Cases
Dr. 藤巻太一朗の症例写真
66ページ目 / 112
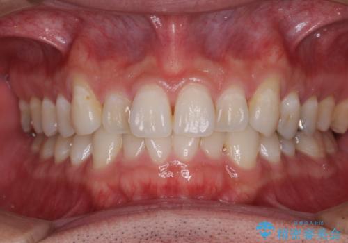
歯並びや奥歯の痛み 色々と治したい 総合歯科診療
担当医 藤巻太一朗


歯に穴を開けられてしまった インプラントによる奥歯の補綴治療


結婚式までに前歯をきれいにしたい 抜歯矯正とオールセラミッククラウン


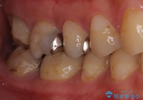
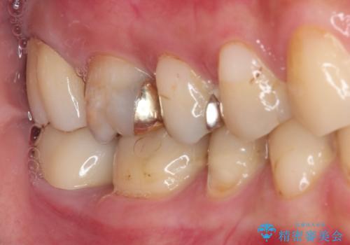
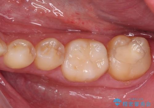
奥歯のむし歯が痛む セラミッククラウンとゴールドインレーによるむし歯治療


口元の突出感を治したい 治療中の歯も治したい


食事をするときに痛む 根管治療とセラミック補綴治療


ものが挟まる 著しい叢生を解消 ワイヤー装置による抜歯矯正
担当医 藤巻太一朗


長年気にしていた前歯 インビザラインで目立たず改善
担当医 藤巻太一朗


口元の突出感を改善 2年弱での抜歯矯正


抜歯が必要な左右の奥歯 ブリッジとインプラントによる奥歯の補綴治療


前歯のデコボコをインビザラインでスッキリと


不揃いな前歯のセラミックが気になる オールセラミッククラウンによる補綴治療


海外赴任前に気になる虫歯を治療したい


上顎骨拡大を用いたインビザラインによる非抜歯矯正
担当医 藤巻太一朗




