症例・治療例紹介
Cases
Dr. 井上季実子の症例写真
11ページ目 / 31
歯茎の下がりが気になる 歯肉移植でさがりにくくする
担当医 井上季実子


前歯の矮小歯 奥歯の反対咬合 をインビザラインで


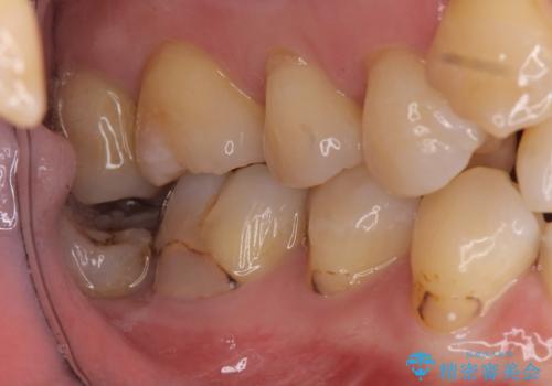
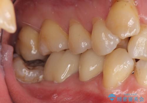
詰め物の下が虫歯 つぎはぎの歯をしっかり治療


深いかみ合わせ 出っ歯の治療 インビザラインで


前歯のがたつき マウスピース矯正で 非抜歯で奥歯を後ろに下げる治療
担当医 井上季実子


前歯の虫歯 矯正治療してからしっかり治す


50代女性 インビザライン かみ合わせが深く、難しい症例


受け口 絶対に顎の手術はしたくない


前歯が反対になっている マウスピース矯正+奥歯ブリッジ


インビザラインチェンジで成功 インビザラインで八重歯の抜歯矯正


前歯のすき間 セラミックで綺麗に 最短で治療


小さい前歯を整える セラミック矯正


前歯が気になる 大人のマウスピース矯正 矮小歯を整える


出っ歯 下の歯のガタガタ 下の前歯のみ1本抜歯 マウスピースで1年




