症例・治療例紹介
Cases
その他 → 舌小帯・上唇小帯切除
4ページ目 / 5
舌小帯の形成で達成する滑舌の改善
担当医 大元洋佑


咬んでしまった後、唇に何かできた 粘液嚢胞摘出
担当医 井上季実子


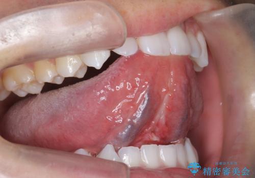
[ 滑舌の改善 ] 即日可能な舌小帯形成
担当医 大元洋佑
![[ 滑舌の改善 ] 即日可能な舌小帯形成の症例 治療前](https://seimitsushinbi.jp/wp/wp-content/uploads/2021/10/e94e53e814f8e1b96166b92cd579ec1d-500x350.jpg?v=1633515968)
![[ 滑舌の改善 ] 即日可能な舌小帯形成の症例 治療後](https://seimitsushinbi.jp/wp/wp-content/uploads/2021/10/152d311fe2f312a807ed1178fbc60d44-500x350.jpg?v=1633515980)
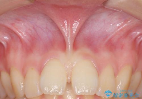
滑舌が気になる:矯正治療前に舌小帯切除


[ 舌小帯の形成 ]滑舌を改善したい
担当医 大元洋佑
![[ 舌小帯の形成 ]滑舌を改善したいの症例 治療前](https://seimitsushinbi.jp/wp/wp-content/uploads/2021/09/e82a05ecd2a75f6b35110889550d902d-500x350.jpg?v=1632645492)
![[ 舌小帯の形成 ]滑舌を改善したいの症例 治療後](https://seimitsushinbi.jp/wp/wp-content/uploads/2021/09/cdb65d722cca59883dfba72633174864-500x350.jpg?v=1632645504)
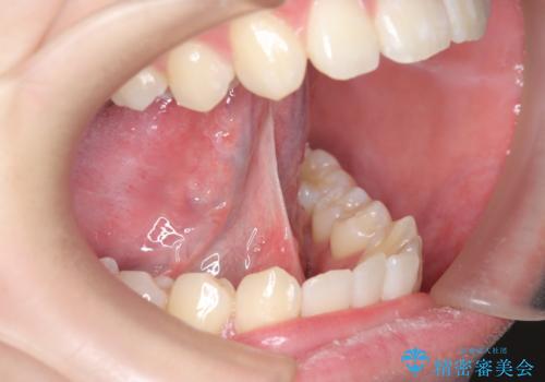
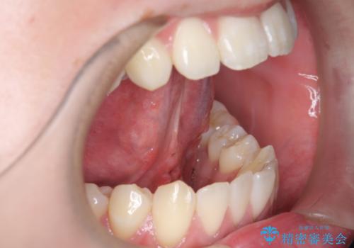
[ 舌小帯の形成 ] 滑舌が悪いと言われる、話しづらい
担当医 大元洋佑
![[ 舌小帯の形成 ] 滑舌が悪いと言われる、話しづらいの症例 治療前](https://seimitsushinbi.jp/wp/wp-content/uploads/2021/07/65efe28f05c8bc8266a054e337d8a987-500x350.jpg?v=1626308574)
![[ 舌小帯の形成 ] 滑舌が悪いと言われる、話しづらいの症例 治療後](https://seimitsushinbi.jp/wp/wp-content/uploads/2021/07/9a0e2d1f2bdecf6d77e84a94c98c2f5e-500x350.jpg?v=1626308612)
[舌小帯形成術] 滑舌が悪いと言われる
担当医 大元洋佑
![[舌小帯形成術] 滑舌が悪いと言われるの症例 治療前](https://seimitsushinbi.jp/wp/wp-content/uploads/2021/04/6967fe8897ed5d58bc76b5d20bc3d7c8-500x350.jpg?v=1617933505)
![[舌小帯形成術] 滑舌が悪いと言われるの症例 治療後](https://seimitsushinbi.jp/wp/wp-content/uploads/2021/04/IMG_0024-500x350.jpg?v=1617933557)
舌小帯の形成
担当医 大元洋佑


上唇小帯切除 矯正前の予防的外科処置


滑舌の改善 舌小帯の形成
担当医 大元洋佑


上唇小帯切除 矯正前の予防的処置


成人の舌小帯切除 舌が動かしにくい


[日帰り手術] 舌小帯切除 滑舌をよくしたい
担当医 大元洋佑
![[日帰り手術] 舌小帯切除 滑舌をよくしたいの症例 治療前](https://seimitsushinbi.jp/wp/wp-content/uploads/2020/05/IMG_0756-500x350.jpg?v=1588381470)
![[日帰り手術] 舌小帯切除 滑舌をよくしたいの症例 治療後](https://seimitsushinbi.jp/wp/wp-content/uploads/2020/05/e317d204ca2188173de02658dc23b17c-500x350.jpg?v=1588381488)
舌小帯を切りたい 発音を良くしたい
担当医 井上季実子


[滑舌が気になる] 舌小帯形成術
担当医 大元洋佑
![[滑舌が気になる] 舌小帯形成術の症例 治療前](https://seimitsushinbi.jp/wp/wp-content/uploads/2020/04/8ed6139f5e3748a3a4e75c04a8849f3e-500x350.jpg?v=1587871433)
![[滑舌が気になる] 舌小帯形成術の症例 治療後](https://seimitsushinbi.jp/wp/wp-content/uploads/2020/04/fb799f9ba89416b633853e7babc41469-500x350.jpg?v=1587871469)
外科処置の注意事項(リスク・副作用など)
- 外科手術のため、術後に出血、痛みや腫れ、違和感を伴います
- 口腔内の状態によっては適応できないことがあります
