症例・治療例紹介
Cases
その他 → クリーニング(PMTC)
20ページ目 / 37
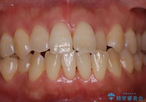
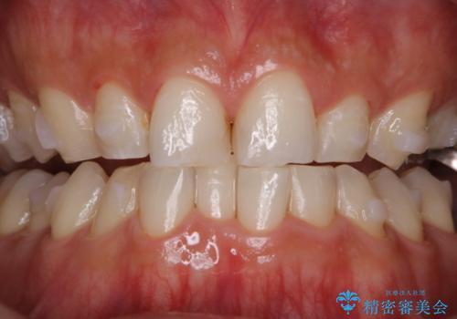
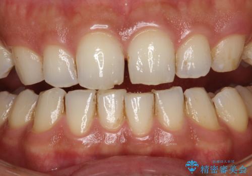
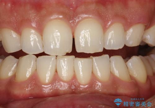
インビザライン中の方 結婚式前にPMTCでステインの除去
担当医 歯科衛生士


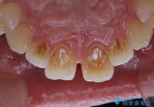
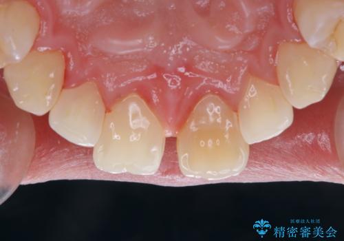
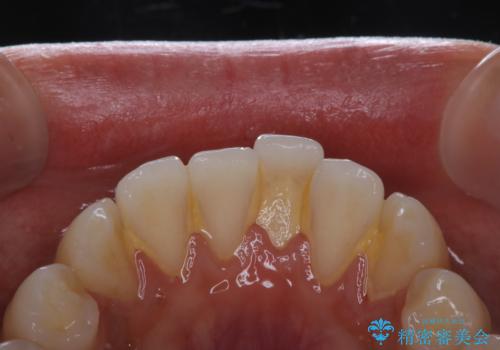
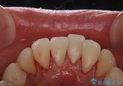
ステインにより見つかりにくい虫歯
担当医 歯科衛生士


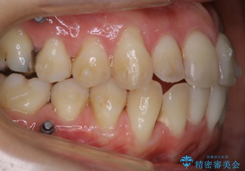
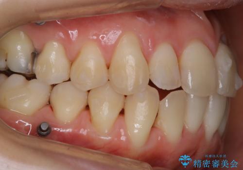
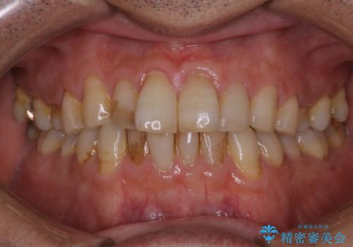
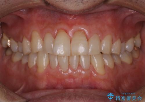
インビザラインでのマウスピース矯正中にPMTCで着色をきれいに
担当医 歯科衛生士


矯正を考えている方のPMTC
担当医 歯科衛生士


歯科医院での専門的なクリーニンング
担当医 歯科衛生士


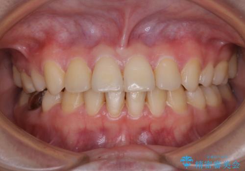
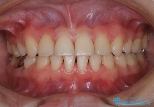
インビザラインでのマウスピース矯正中にPMTCでステインの除去
担当医 歯科衛生士


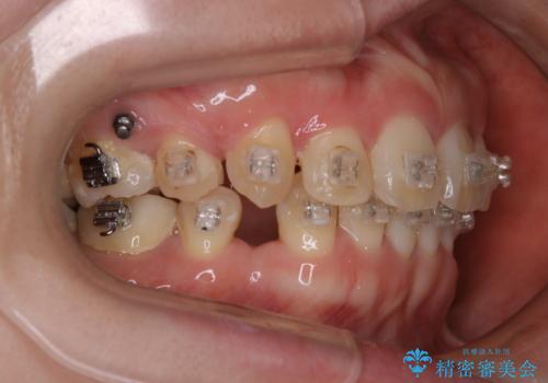
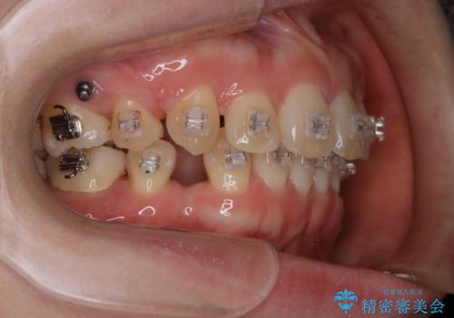
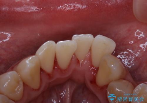
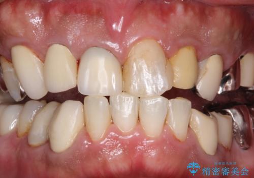
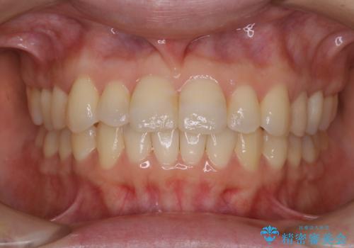
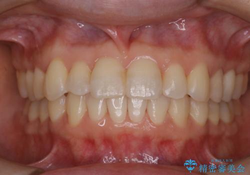
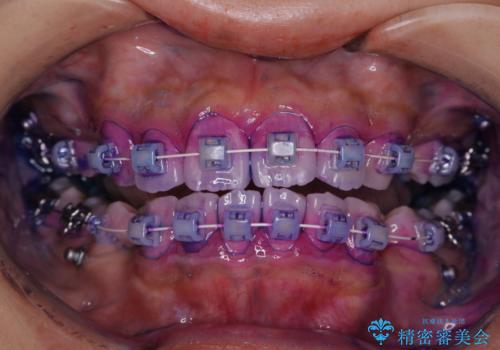
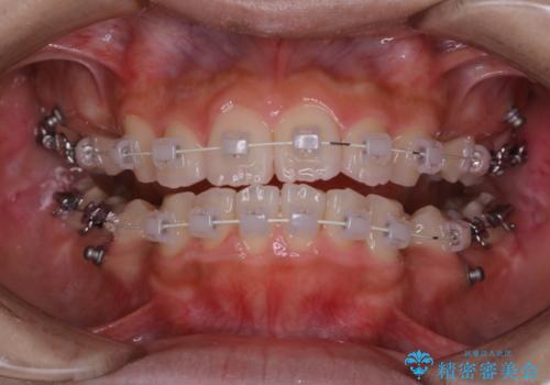
審美装置でワイヤー矯正中の方 ワイヤーを外してPMTC
担当医 歯科衛生士


1年ぶりの歯医者でクリーニング
担当医 歯科衛生士


治療途中にステインをPMTCで除去
担当医 歯科衛生士


初めてのPMTC
担当医 歯科衛生士


虫歯の治療を始める前にPMTCできれいに
担当医 歯科衛生士


歯と歯の間の着色をPMTCでできる限り除去
担当医 歯科衛生士


矯正治療とセラミック治療が終了後のPMTC
担当医 歯科衛生士


ワイヤー矯正を初めてから2カ月 歯磨き指導とPMTC
担当医 歯科衛生士


治療の前にPMTCできれいでツルツルな歯に
担当医 歯科衛生士


プロフェッショナルクリーニングの注意事項(リスク・副作用など)
- 歯を白くする目的の施術ではありません
- 保険適用外となります
