症例詳細
Case detail
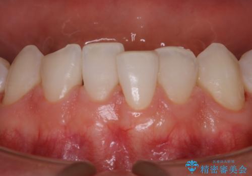
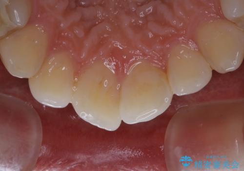
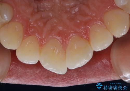
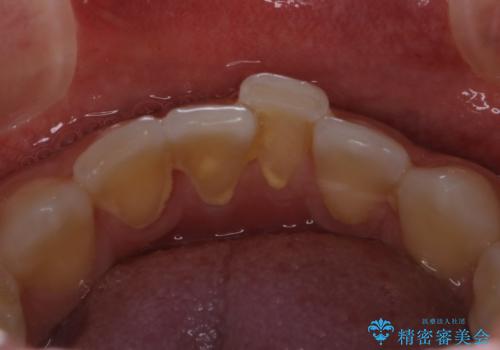
30代男性 虫歯の治療前にPMTC
治療症例の内容
- 診療科目
- 治療カテゴリ
- 患者様
- 30代男性
- 治療期間
- 1日
- 治療回数
- 1回
- 治療計画
- 歯医者でのクリーニングはかなり久しぶりで、今後虫歯の治療もしていくので綺麗にしたいとのことでした。PMTC30分コースを行いました。
- 費用(概算)
- 5,500円(税込)費用は治療当時の料金となります
治療について
PMTCを行う際には担当の歯科衛生士が、患者様1人1人の虫歯・歯周病などのリスク・ブラッシングスキルなどを確認します。
単なる磨き方の指導だけではなく、歯並びや歯肉の状態、ライフスタイルなどにより、患者様に適した歯ブラシや歯磨剤の選択をしたり、お口のお悩みについてのご相談も承っております。
定期的にPMTCでメンテナンスを行うことで、なにかあった時の早期発見につながります。
日々の磨き残しや唾液の成分などによりバイオフィルムや歯石はどうしても付着してしまいます。歯石や汚れを放置していると、そこで病原菌が繁殖す始めます。歯肉に炎症が生じると歯周病などの引き金となります。
そのため、2~3か月に1回は、歯科医院での専門的クリーニングをすることが大切です。
担当歯科衛生士
表参道しらゆり歯科 DH西澤
PMTCの注意事項(リスク・副作用など)
- 歯を白くする目的の施術ではありません
- 保険適用外となります
当サイトの内容、テキスト、画像等の無断転載、複製、複写、盗用を固く禁じます。










