症例・治療例紹介
Cases
その他 → クリーニング(PMTC)
19ページ目 / 37
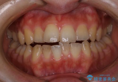
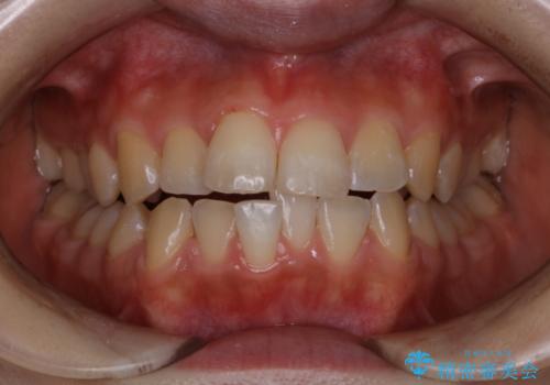
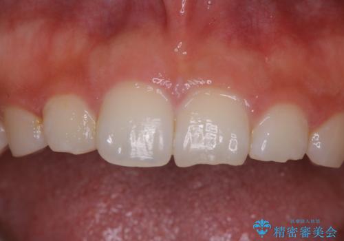
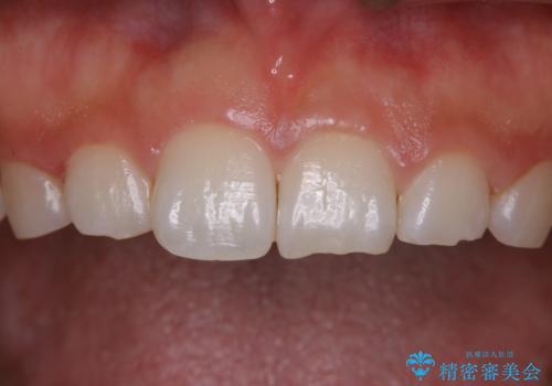
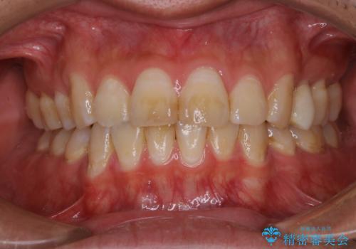
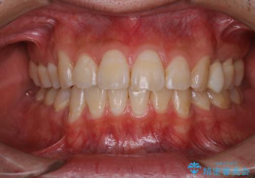
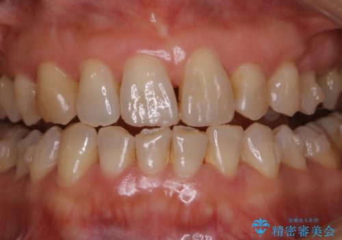
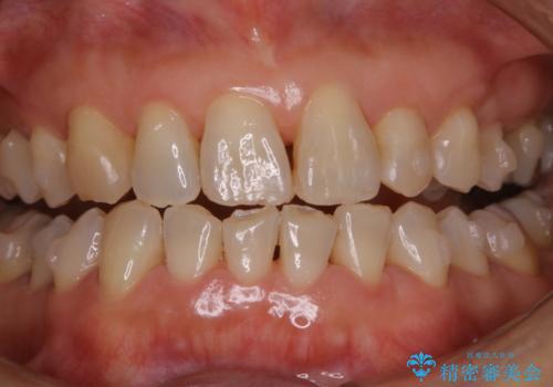
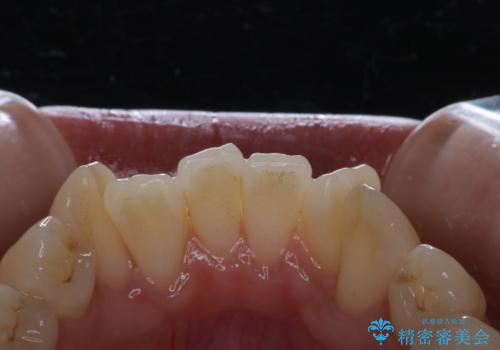
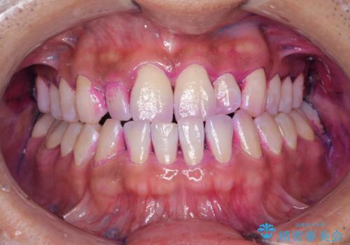
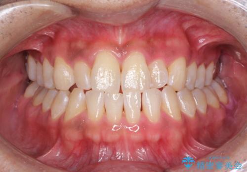
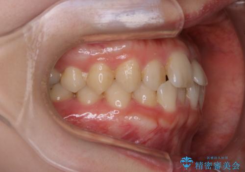
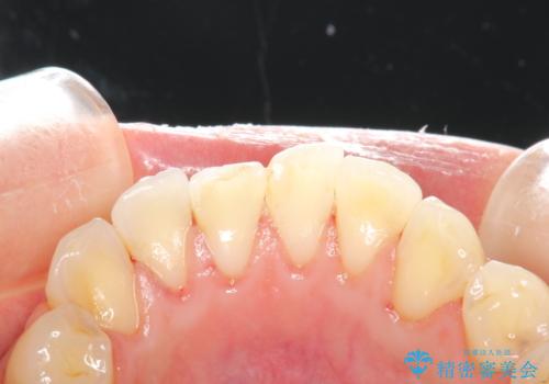
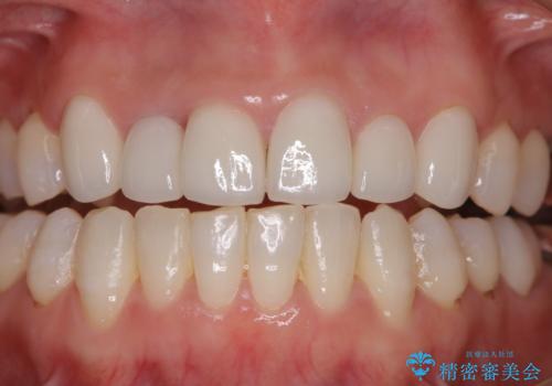
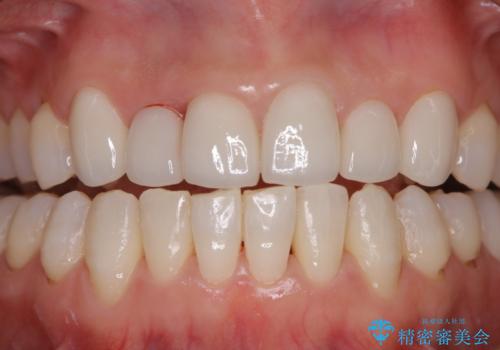
結婚式の前にPMTCで1日できれいな口元に
担当医 歯科衛生士


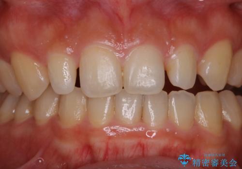
久しぶりの歯のクリーニング(Professional Mechanical Tooth Cleaning)
担当医 歯科衛生士


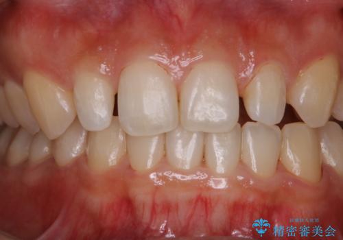
歯科医院でのメンテナンス
担当医 歯科衛生士


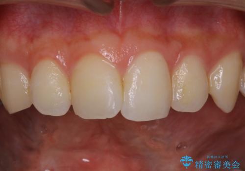
紅茶による着色を1日できれいに
担当医 歯科衛生士


インビザラインでの矯正中に歯科医院でのクリーニング
担当医 歯科衛生士


マウスピース矯正中にPMTC
担当医 歯科衛生士


矯正治療開始前にPMTCでツルツルの歯に
担当医 歯科衛生士


染め出しをして歯磨きチェックとPMTC
担当医 歯科衛生士


インビザラインのアタッチメントをつける前にPMTC
担当医 歯科衛生士


歯科矯正前にPMTCで清潔な口腔内に
担当医 歯科衛生士


久しぶりのPMTCでメンテナンス
担当医 歯科衛生士


妊娠中(5カ月)にPMTCでオーラルケア
担当医 歯科衛生士


デンタルフロスが通せない PMTCでしっかり通るように
担当医 歯科衛生士


前歯のセラミック製作前にPMTC
担当医 歯科衛生士


30代男性 虫歯の治療前にPMTC
担当医 歯科衛生士


プロフェッショナルクリーニングの注意事項(リスク・副作用など)
- 歯を白くする目的の施術ではありません
- 保険適用外となります
