症例詳細
Case detail
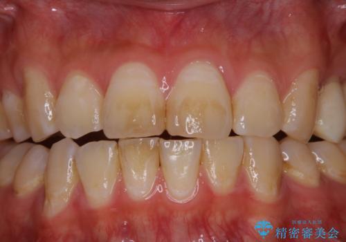
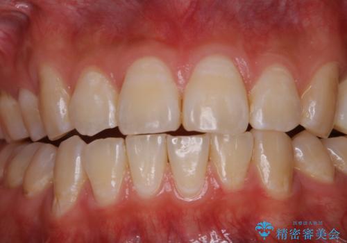
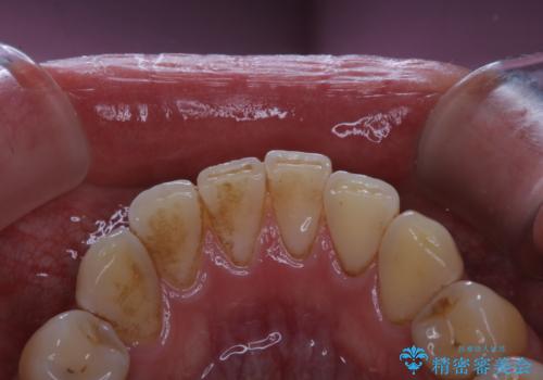
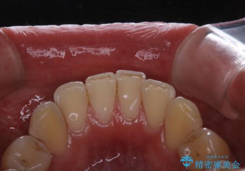
紅茶による着色を1日できれいに
治療症例の内容
- 診療科目
- 治療カテゴリ
- 患者様
- 20代男性
- 治療期間
- 1日
- 治療回数
- 1回
- 治療計画
- 紅茶を頻繁に飲むため、歯の黄ばみが気になるとのことでした。PMTC60分コースを行いました。
- 費用(概算)
- 11,000円(税込)費用は治療当時の料金となります
治療について
毎日丁寧に歯磨きをしていても、日常生活での飲食物などにより着色してしまうことはあります。
PMTC(保険外治療)は、毎日の歯磨きで落としきれない汚れや、コーヒ、紅茶・タバコのヤニなどの着色も除去します。目には見えない歯と歯の間・歯肉の境目などに残っているプラーク(歯垢)もしっかり取り除きます。PMTCでは専門的な機械や材料を使用して、徹底的に汚れを除去するため、虫歯・歯周病・口臭予防などにつながります。
また、仕上げのトリートメントでは歯の表面の凸凹にミネラルを補給して、ツルツルの表面に仕上げます。定期的にPMTCを行うことにより、歯質の強化になり着色がつきにくい状態になります。
普段の飲食物・歯磨き・生活習慣などにより着色の付き具合には個人差があります。どれくらいの頻度で行うことがベストか、PMTCのコースの時間などはその都度担当の歯科衛生士とご相談します。
担当歯科衛生士
表参道しらゆり歯科 DH西澤
PMTCの注意事項(リスク・副作用など)
- 歯を白くする目的の施術ではありません
- 保険適用外となります
当サイトの内容、テキスト、画像等の無断転載、複製、複写、盗用を固く禁じます。








