症例・治療例紹介
Cases
その他 → クリーニング(PMTC)
18ページ目 / 37
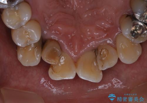
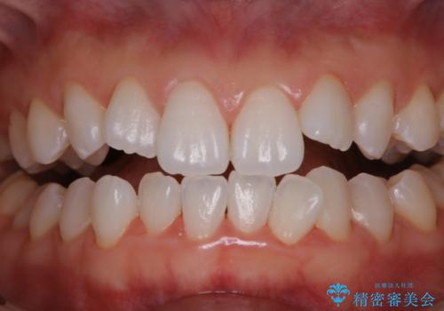
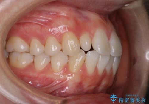
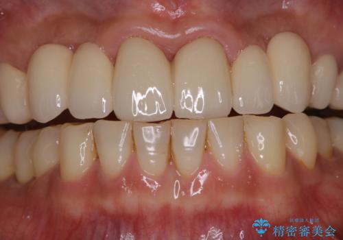
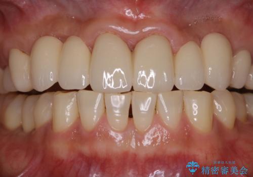
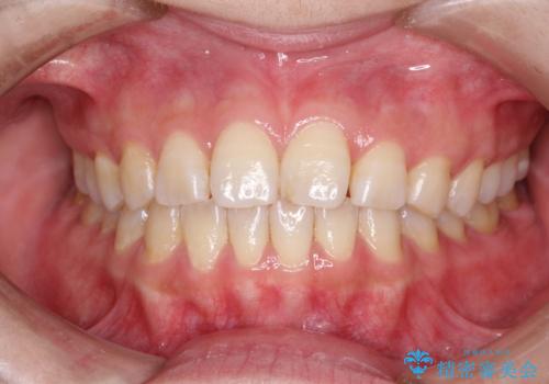
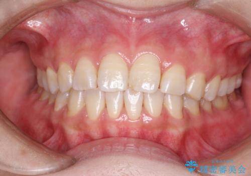
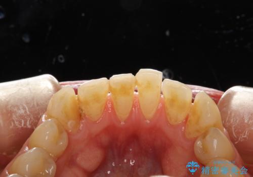
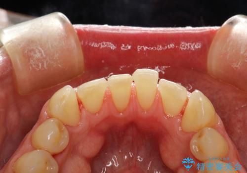
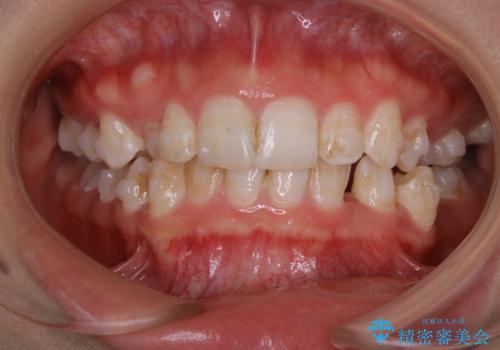
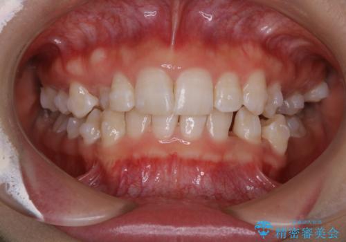
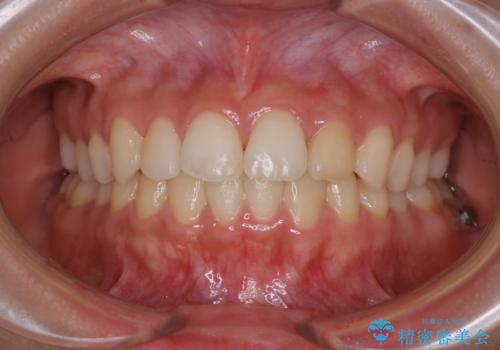
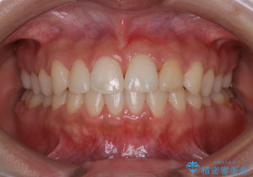
全体的な治療の開始前に着色取り
担当医 歯科衛生士


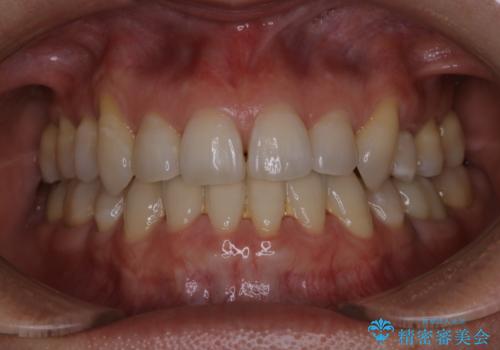
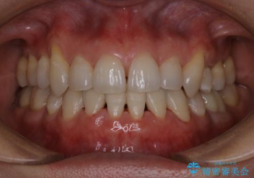
数年ぶりの歯医者で歯を白くしたい
担当医 歯科衛生士


成人式の前撮り前に歯をきれいにしたい 初めてのPMTC
担当医 歯科衛生士


1カ月前に他院でクリーニングを受けたが舌触りが気になる PMTCでツルツルに
担当医 歯科衛生士


前歯のセラミックのチェックも合わせてPMTCでメンテナンス
担当医 歯科衛生士


光学3Dスキャナー【iTero Element】でスキャニング前にPMTC
担当医 歯科衛生士


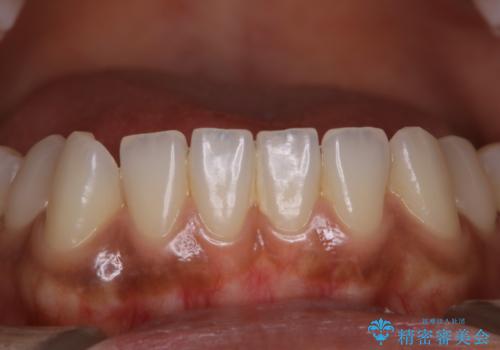
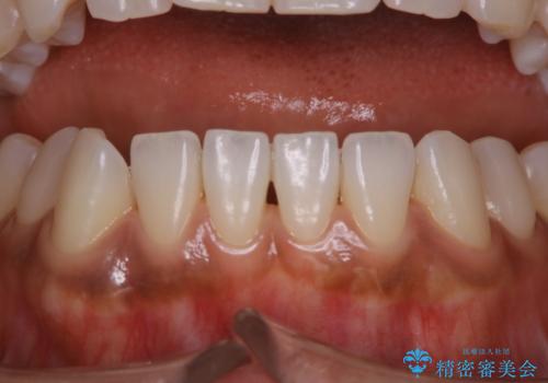
数年ぶりに歯科医院で歯石除去
担当医 歯科衛生士


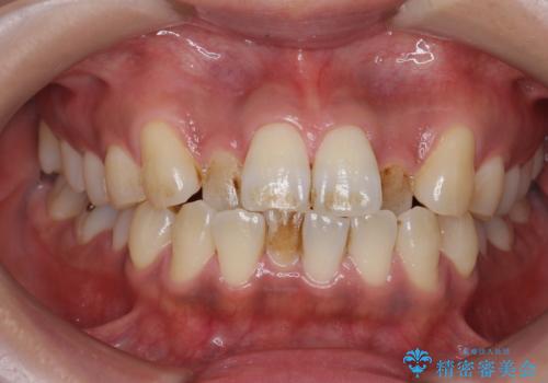
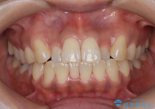
歯磨き中に血が出る PMTCで歯石除去
担当医 歯科衛生士


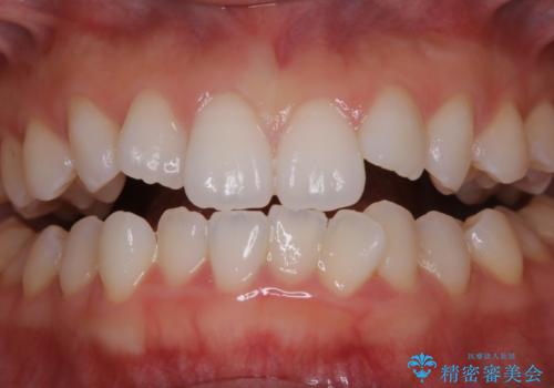
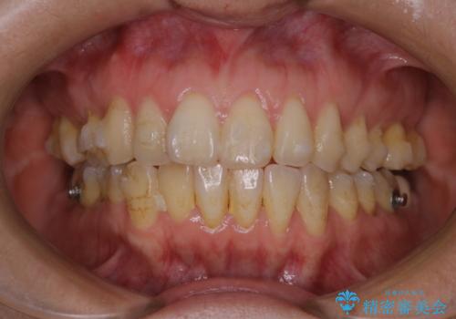
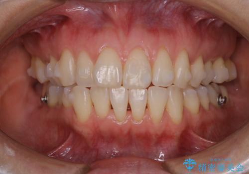
invisalignでのマウスピース矯正中もきれいな口元に
担当医 歯科衛生士


インビザライン中に見える所だけ綺麗にしたい
担当医 歯科衛生士


ワイヤー矯正治療中に気になる口臭をPMTCで予防
担当医 歯科衛生士


ホワイトニング前にPMTC
担当医 歯科衛生士


毎日のマスク着用により感じる口臭をPMTCで予防
担当医 歯科衛生士


PMTCで歯の表面の着色をきれいに除去。
担当医 歯科衛生士


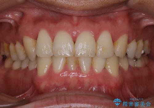
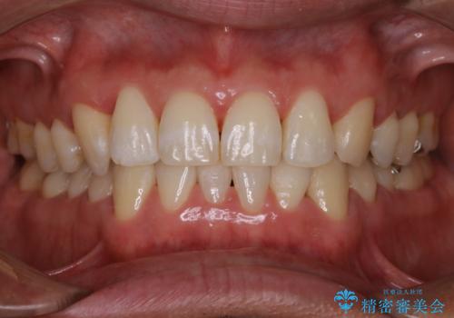
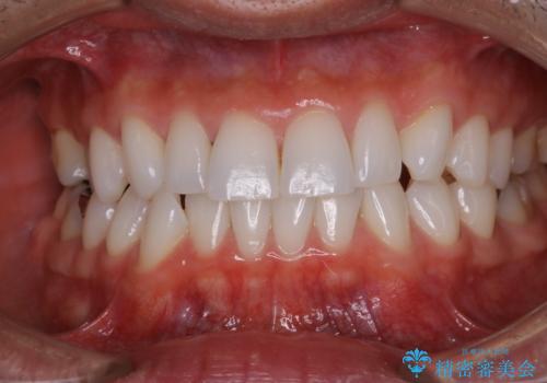
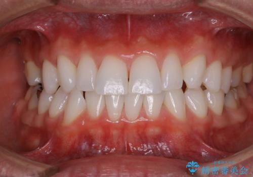
矯正治療終了後にPMTC(Professional Mechanical Tooth Cleaning)
担当医 歯科衛生士


プロフェッショナルクリーニングの注意事項(リスク・副作用など)
- 歯を白くする目的の施術ではありません
- 保険適用外となります
