症例詳細
Case detail
成人式の前撮り前に歯をきれいにしたい 初めてのPMTC
治療症例の内容
- 診療科目
- 治療カテゴリ
- 患者様
- 10代女性
- 治療期間
- 1日
- 治療回数
- 1回
- 治療計画
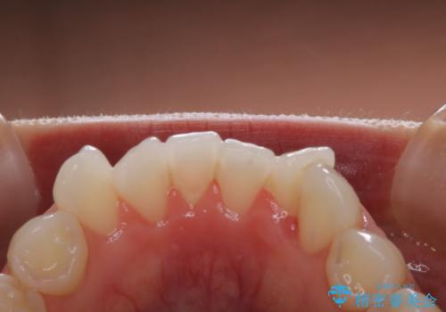
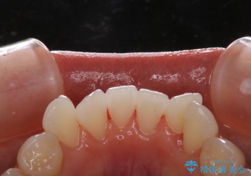
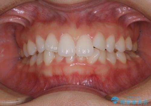
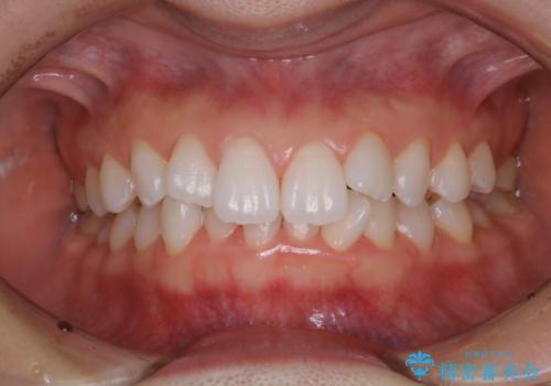
- 今まで歯科でのクリーニングを受けたことがなく、前撮り撮影があるため歯をきれいにしたいとのことで来院されました。PMTC30分コースを行いました。
- 費用(概算)
- 5500費用は治療当時の料金となります
治療について
PMTCとは「Professional Mechanical Tooth Cleaning」の略で、専用の機器を使った歯のクリーニングです。
審美的面だけではなく、歯周病や虫歯・口臭などのリスクを予防することができます。
汚れを除去することにより、症状の早期発見につながります。
また、クリーニングを行うことで、汚れを取り除くだけではなく、口臭予防にもなります。
PMTCを行うことで、ご自身本来の歯の色になり自然な明るさになります。
口元が自然な明るさになることで、より清潔感のある印象になるため成人式・結婚式といった行事やイベント前などにもPMTCを行うことはおすすめです。
担当
表参道しらゆり歯科 DH西澤
PMTCの注意事項(リスク・副作用など)
- 歯を白くする目的の施術ではありません
- 保険適用外となります
当サイトの内容、テキスト、画像等の無断転載、複製、複写、盗用を固く禁じます。






