症例・治療例紹介
Cases
その他 → クリーニング(PMTC)
16ページ目 / 37
親知らずの抜歯前にPMTC
担当医 歯科衛生士


電子タバコによる着色をPMTCできれいに落とす
担当医 歯科衛生士


タバコによるヤニ、着色、歯の汚れをPMTC(60分コース)で除去。
担当医 歯科衛生士


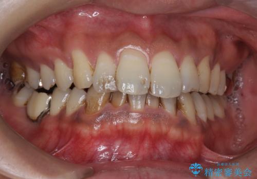
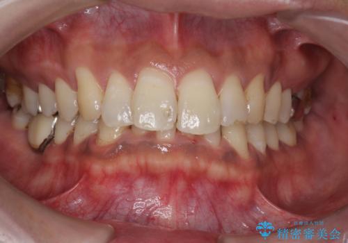
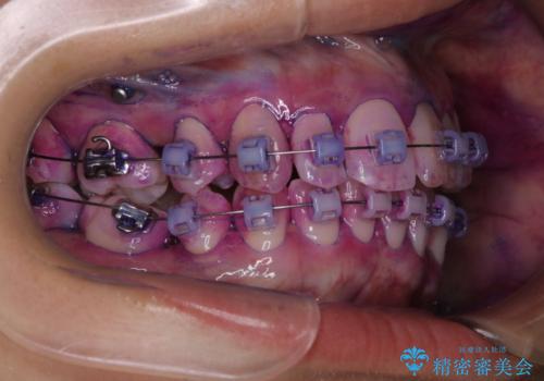
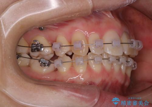
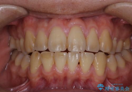
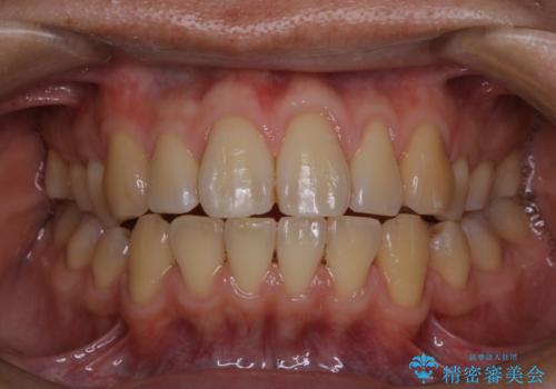
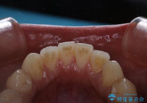
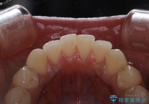
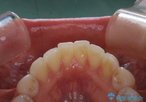
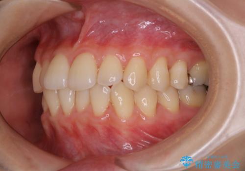
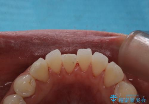
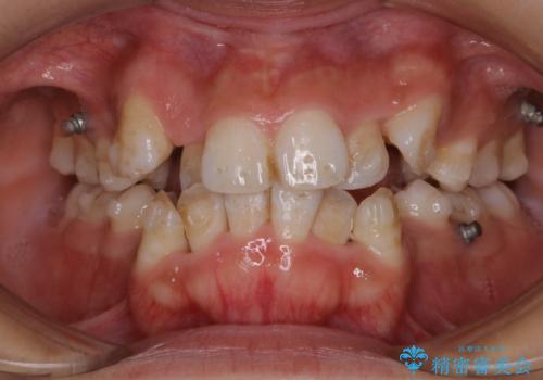
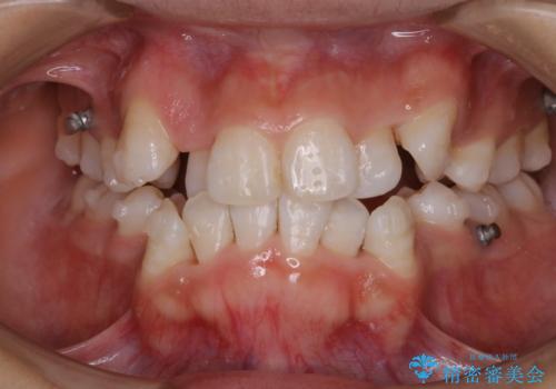
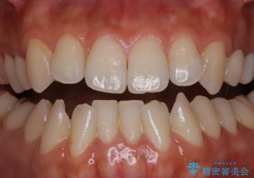
表のワイヤー矯正治療中にPMTCで綺麗に
担当医 歯科衛生士


数年ぶりに歯のクリーニング
担当医 歯科衛生士


PMTCで口元を爽快感にスッキリと
担当医 歯科衛生士


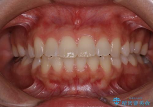
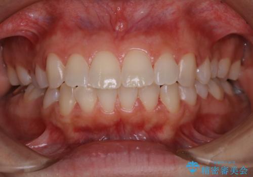
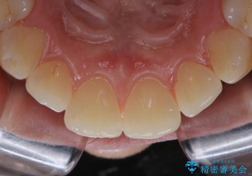
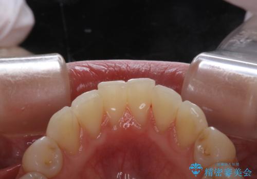
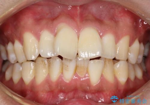
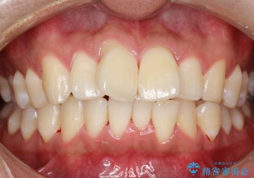
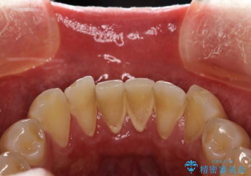
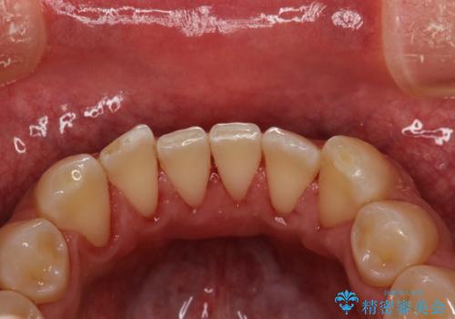
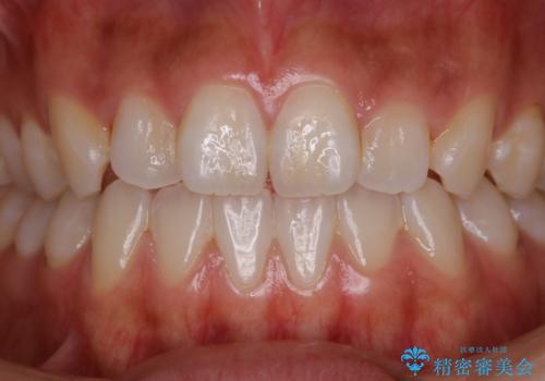
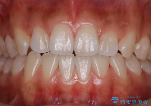
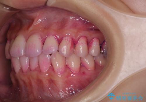
矯正治療が終わったタイミングでPMTC
担当医 歯科衛生士


タバコのヤニを取って歯を白くしたい
担当医 歯科衛生士


PMTC30分コースで前歯のみクリーニング
担当医 歯科衛生士


歯磨きをしてもザラつく感じをツルツルにしたい
担当医 歯科衛生士


PMTCで定期的なメンテナンスを
担当医 歯科衛生士


数年ぶりに歯のクリーニング
担当医 歯科衛生士


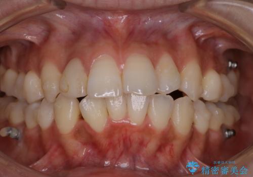
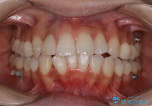
インビザラインで矯正中のコーヒーによる着色をきれいに除去
担当医 歯科衛生士


海外へ行く前にクリーニングできれいにしたい
担当医 歯科衛生士


インビザライン中にステイン落とし
担当医 歯科衛生士


プロフェッショナルクリーニングの注意事項(リスク・副作用など)
- 歯を白くする目的の施術ではありません
- 保険適用外となります
