症例詳細
Case detail
PMTCで口元を爽快感にスッキリと
治療症例の内容
- 診療科目
- 治療カテゴリ
- 患者様
- 20代男性
- 治療期間
- 1日
- 治療回数
- 1回
- 治療計画
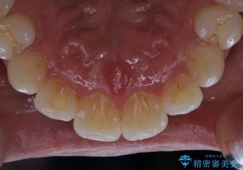
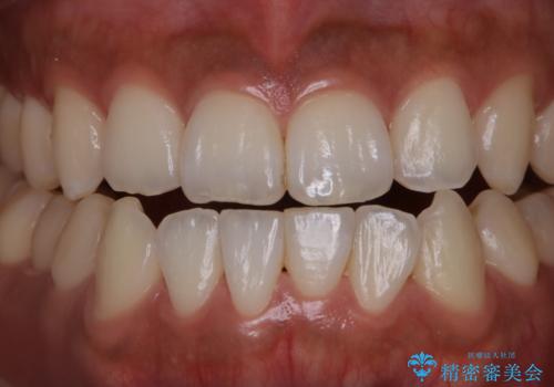
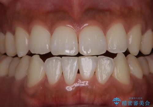
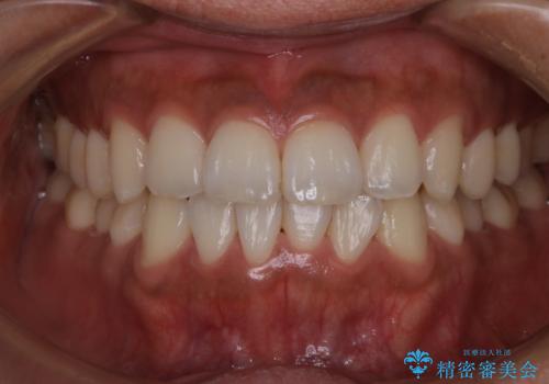
- 歯科でのクリーニングはかなり久しぶりで、全体的にきれいにしたいとのことでした。PMTC60分コースを行いました。
- 費用(概算)
- ¥11000円費用は治療当時の料金となります
治療について
毎日しっかり歯磨きをしているつもりでも、歯ブラシの届きにくい場所には歯垢【プラーク】が溜まりやすい場所が出来てしまいます。歯垢の中のばい菌が繫殖すると、やがて歯ブラシでは簡単に落とすことのできないばい菌の集合体【バイオフィルム】となり、放置しておくと、虫歯や歯周病・口臭・全身の様々な病気の原因となります。
PMTCとは「Professional Mechanical Tooth Cleaning」の略で、専用の機器を使った歯のクリーニングです。
PMTCは誰もが実施できるというわけではなく、歯科医師や歯科衛生士によるプロフェッショナルケアです。
審美的面だけではなく、歯周病や虫歯・口臭などのリスクを予防することができます。
汚れを除去することにより、症状の早期発見につながります。
定期的に歯科医院に来院し、PMTCを行うことが大切です。
担当
表参道しらゆり歯科 DH西澤
PMTCの注意事項(リスク・副作用など)
- 歯を白くする目的の施術ではありません
- 保険適用外となります
当サイトの内容、テキスト、画像等の無断転載、複製、複写、盗用を固く禁じます。








