症例・治療例紹介
Cases
その他 → クリーニング(PMTC)
11ページ目 / 37
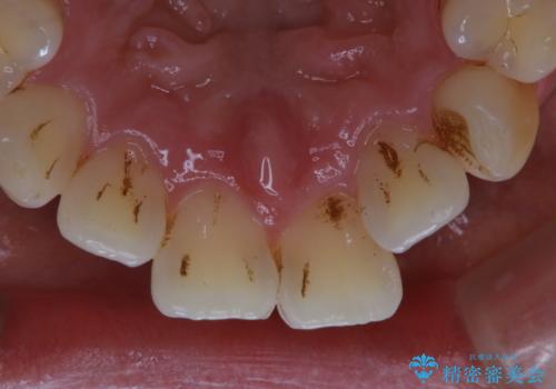
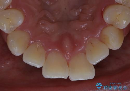
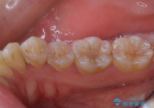
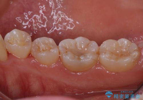
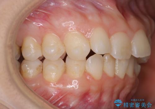
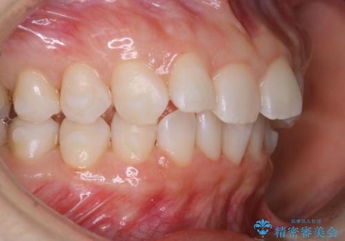
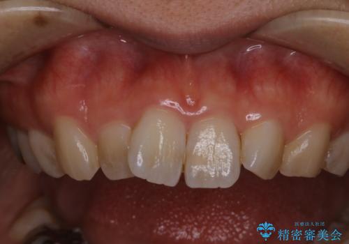
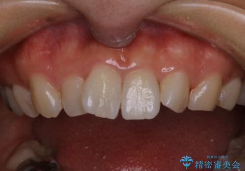
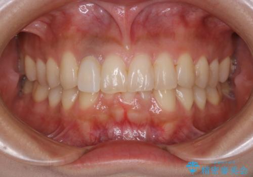
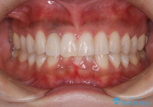
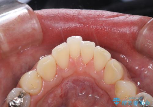
PMTCでステインの除去
担当医 歯科衛生士


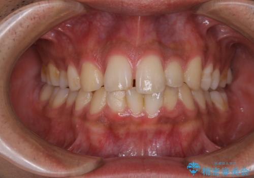
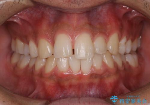
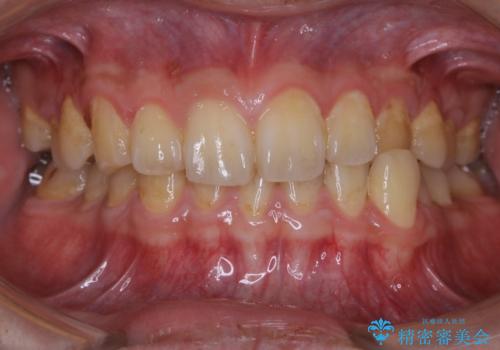
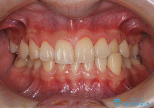
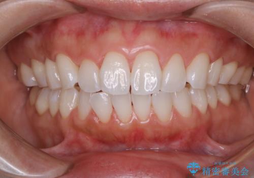
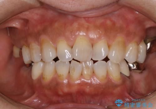
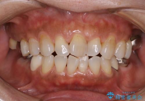
インビザラインで矯正治療を始める前にクリーニング
担当医 歯科衛生士


invisalign治療中のメンテナンス
担当医 歯科衛生士


歯の着色落とし
担当医 歯科衛生士


矯正をスタートする前にクリーニング(PMTC60分)
担当医 歯科衛生士


20代女性 歯の掃除 クリーニング
担当医 歯科衛生士


矯正前クリーニング(PMTC)
担当医 歯科衛生士


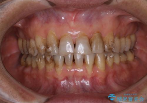
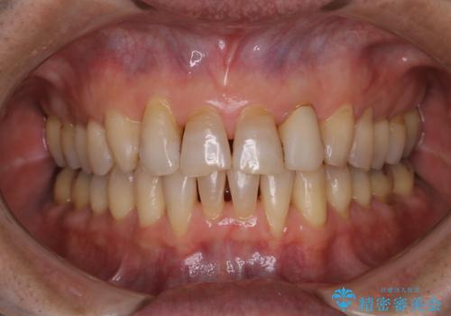
前歯1本をセラミック(被せ物)にする前に、全体的に白くしていくオフィスホワイトニング
担当医 歯科衛生士


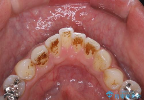
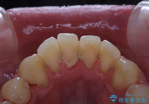
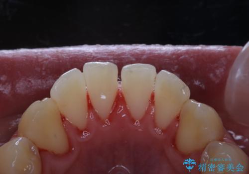
歯の染め出しとPMTCで口腔内ケア
担当医 歯科衛生士


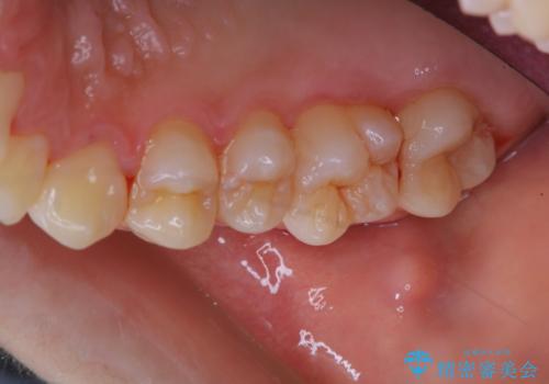
タバコやコーヒーによる着色落とし(PMTC)
担当医 歯科衛生士


矯正が終了するタイミングでクリーニング(PMTC)
担当医 歯科衛生士


後戻り防止の為のホワイトニング
担当医 歯科衛生士


虫歯予防、歯周病予防のためにクリーニング
担当医 歯科衛生士


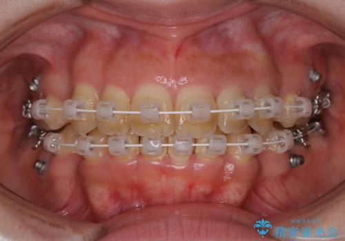
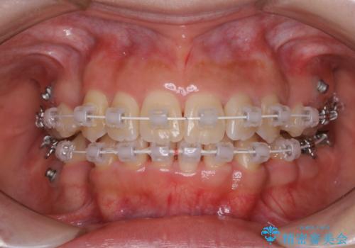
ワイヤー矯正中のクリーニング
担当医 歯科衛生士


人生で初めての歯のクリーニング
担当医 歯科衛生士


プロフェッショナルクリーニングの注意事項(リスク・副作用など)
- 歯を白くする目的の施術ではありません
- 保険適用外となります
