症例詳細
Case detail
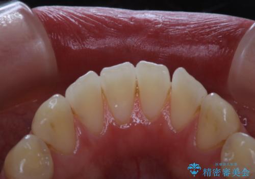
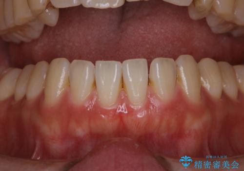
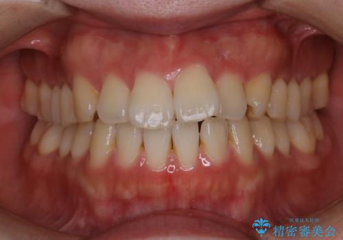
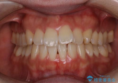
PMTCでステインの除去
治療症例の内容
- 診療科目
- 治療カテゴリ
- 患者様
- 20代男性
- 治療期間
- 1日
- 治療回数
- 1回
- 治療計画
- しばらく歯科でのクリーニングをしていないため、しっかり機械的なお掃除をしたいとのことでした。
PMTC60分コースを行いました。
- 費用(概算)
- ¥11000費用は治療当時の料金となります
治療について
PMTCは、歯に付着した汚れを除去していくため、着色が気になる場合にも行うことができます。ご自身でのセルフケアだけで着色を落とそうとすると、逆に歯を傷つけてしまったり、精密に汚れを除去できないこともあります。また、日常生活で着色しやすい飲食物を避けたりすることはストレスに感じてしまったり、あまり現実的ではありません。
毎日丁寧に歯磨きをしていても、日常生活での飲食物などにより着色してしまうことはあります。PMTCでは、歯の表面の凸凹にミネラルを補給して、ツルツルの表面に仕上げます
歯科医院にて、適切な処置を行うことで、長期的に安定したお口の環境が作られます。まずはカウンセリングなどもおススメです。
担当
表参道しらゆり歯科 DH西澤
PMTCの注意事項(リスク・副作用など)
- 歯を白くする目的の施術ではありません
- 保険適用外となります
当サイトの内容、テキスト、画像等の無断転載、複製、複写、盗用を固く禁じます。








