症例・治療例紹介
Cases
矯正歯科治療 → プラスチックブラケット
9ページ目 / 12
口元の突出感を改善 2年弱での抜歯矯正


【クリア装置】前歯の凸凹を綺麗にしたい
担当医 河口智英


気がつくと口が開いてしまう 閉じにくい口元改善の抜歯矯正


治療途中で転院 抜歯矯正の仕上げ治療
担当医 藤巻太一朗


前歯が磨きにくい 目立たないワイヤー装置による矯正治療


前歯2本が欠損 抜歯矯正でデコボコを治す


部分矯正で出っ歯になった 出っ歯改善の抜歯矯正


前歯の叢生を解消 ワイヤー装置での抜歯矯正


すきっ歯・出っ歯が気になる インビザライン矯正 乳歯をインプラントに


閉じにくい口元を改善したい ワイヤー装置での抜歯矯正


前歯のデコボコを治したい ワイヤー矯正


話しにくい歯並びの改善 抜歯矯正治療と前歯の審美治療


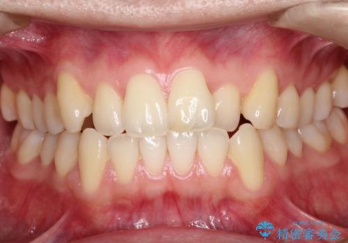
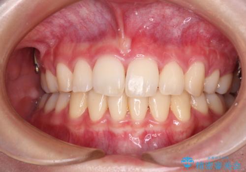
[口ゴボ] 口元が出ているのが気になる ワイヤーによる抜歯矯正で口元をすっきりと
![[口ゴボ] 口元が出ているのが気になる ワイヤーによる抜歯矯正で口元をすっきりとの症例 治療前](https://seimitsushinbi.jp/wp/wp-content/uploads/2020/08/IMG_1419-500x350.jpg?v=1596711819)
![[口ゴボ] 口元が出ているのが気になる ワイヤーによる抜歯矯正で口元をすっきりとの症例 治療後](https://seimitsushinbi.jp/wp/wp-content/uploads/2020/08/IMG_2186-500x350.jpg?v=1596711951)
短期間での歯列矯正 ワイヤー矯正であっという間に


前歯の隙間を閉じたい 短期間でのワイヤー矯正


ワイヤー矯正歯科治療の注意事項(リスク・副作用など)
- 治療中は違和感や痛みが起こることがあります
- 症状により、抜歯が必要な場合があります
- 治療中は歯磨きがしにくくなるため、虫歯や歯周病になりやすくなります
- 矯正治療後の保定が不十分だと後戻り(元の位置に戻ろうとする動き)をします
- 自費診療(保険適用外)となります
