症例・治療例紹介
Cases
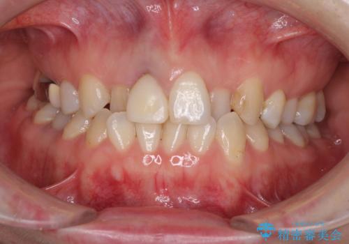
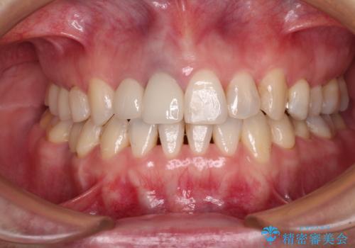
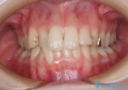
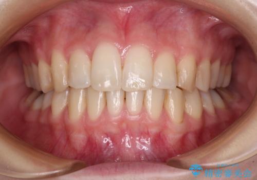
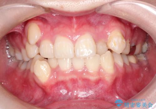
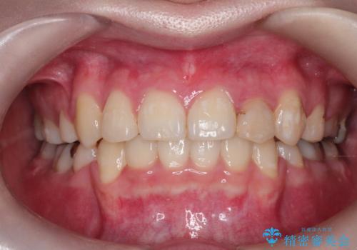
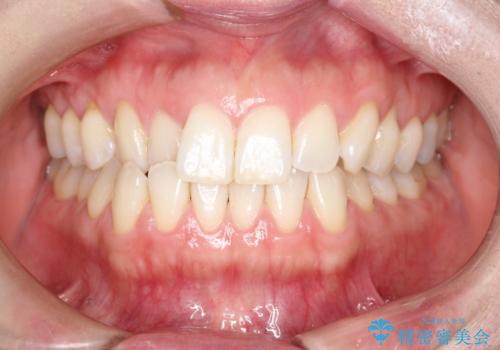
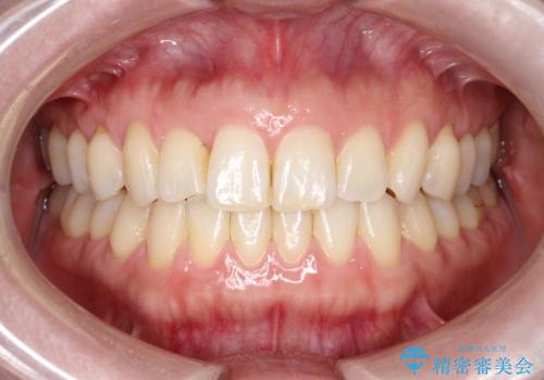
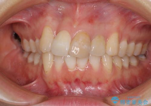
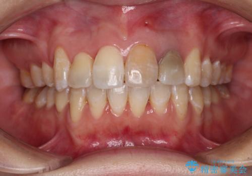
矯正歯科治療 → 交叉咬合(クロスバイト)
11ページ目 / 19
前歯の反対咬合をワイヤー矯正で改善して噛みやすく


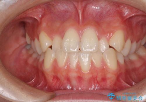
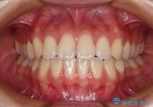
【モニター】犬歯のクロスバイトを目立たないワイヤー装置で


前歯のクロスバイトと治療が必要なむし歯 矯正とセラミックの総合歯科治療


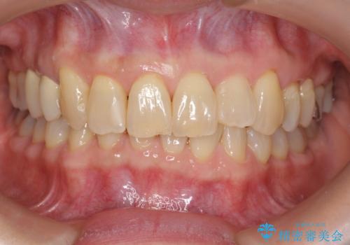
ワイヤー矯正を併用し、リスクを回避しながらのインビザライン矯正治療


短期間での治療 急速拡大装置を併用したワイヤー装置による矯正治療


八重歯が気になる ワイヤーによる抜歯矯正できれいな歯並びへ


上の歯と下の歯が反対にかんでいる インビザラインによる目立たない矯正


軽度の前歯のガタガタをインビザラインでの目立たない矯正


八重歯・前歯のがたつき 抜かない矯正 インビザラインで


前歯の矮小歯 奥歯の反対咬合 をインビザラインで


内側にある歯が邪魔 重なった前歯の歯列矯正


受け口傾向の咬み合わせ 前歯のデコボコをワイヤー矯正で素早く改善


上下のがたつきをインビザラインで目立たない矯正


前歯のクロスバイトを治したい インビザラインによる矯正治療


50代女性 インビザライン かみ合わせが深く、難しい症例


ワイヤー矯正歯科治療の注意事項(リスク・副作用など)
- 治療中は違和感や痛みが起こることがあります
- 症状により、抜歯が必要な場合があります
- 治療中は歯磨きがしにくくなるため、虫歯や歯周病になりやすくなります
- 矯正治療後の保定が不十分だと後戻り(元の位置に戻ろうとする動き)をします
- 自費診療(保険適用外)となります
マウスピース矯正の注意事項(リスク・副作用など)
- 口腔内・歯並びの状態によっては対応できない場合があります
- マウスピース型矯正装置の長時間装着が必須です
- 治療計画通りに進めるためには、患者様の意志が重要になります
- 矯正治療後の保定が不十分だと後戻り(元の位置に戻ろうとする動き)をします
- 自費診療(保険適用外)となります
