症例・治療例紹介
Cases
セラミック治療 → 前歯クラウン(オールセラミック)
37ページ目 / 73
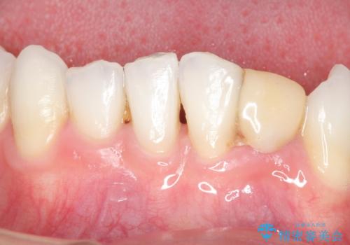
インプラント 抜歯になってしまった歯の補綴


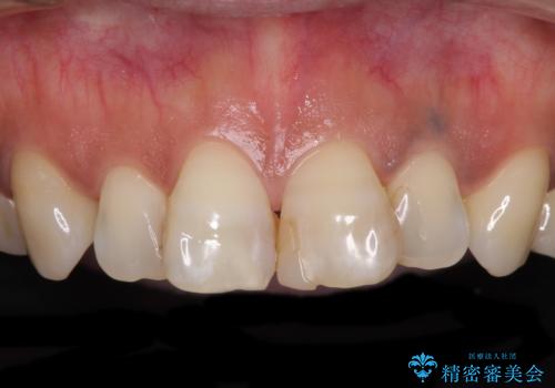
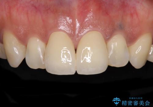
オールセラミッククラウン 変色が気になる前歯の治療


オールセラミッククラウン 矯正で綺麗に並ばなかった前歯の補綴


歯の変色 前歯の審美改善


欠損歯と矮小歯 矯正治療と前歯のセラミック治療


継ぎ接ぎだらけの前歯を綺麗にしたい 前歯のオールセラミック


黒いところが気になる、前歯をきれいにしたい


侵襲性歯周炎。前歯の歯周補綴


前歯が黒くなってきた。オールセラミッククラウン
担当医 河口智英


前歯ブリッジのやりかえ 下の歯のがたつき 銀歯を全てセラミックに


虫歯で歯が折れた セラミック審美修復


話しにくい歯並びの改善 抜歯矯正治療と前歯の審美治療


インプラントを用いた歯周病全顎治療
担当医 大元洋佑


度重なる治療で前歯がしみる オールセラミッククラウンによる補綴治療


折れてしまった前歯 インプラントによる補綴治療


セラミック治療の注意事項(リスク・副作用など)
- 天然歯を削ります
- 硬い素材は天然歯を傷つけてしまう場合があります
- かみ合わせや歯ぎしりが強すぎる方はセラミックが割れてしまう可能性があります
- 自費診療(保険適用外治療)となります
