症例・治療例紹介
Cases
Dr. 河野豊嘉の症例写真
1ページ目 / 2
表側矯正(クリアブラケット、審美装置)・裏側矯正(ハーフリンガル・フルリンガル)・マウスピース矯正(インビザライン)など、歯列矯正の治療例をご紹介しております。
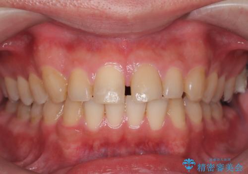
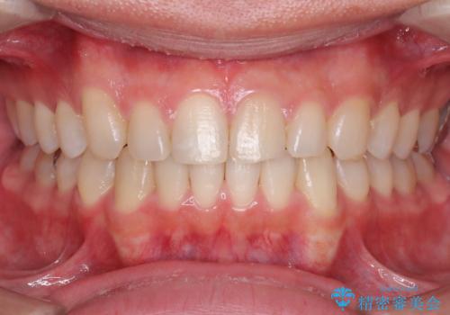
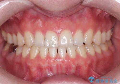
正中離開・クロスバイト・すきっ歯・叢生|インビザラインで治療


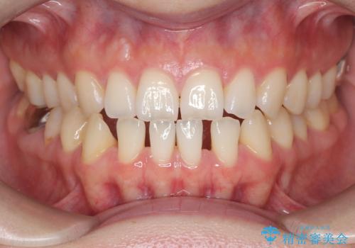
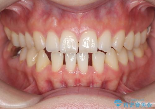
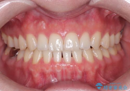
すきっ歯・切端咬合・空隙歯列|インビザラインで11ヵ月で治療完了


必ずしもワイヤーでなくても大丈夫!インビザラインでデコボコ歯列&過蓋咬合を改善


非抜歯矯正で八重歯を改善|短期間8か月で美しい歯並びに|インビザラインライト上顎のみで矯正


口ボコと歯のデコボコが気になる!|前歯が出ていて口が閉じにくい|審美ワイヤー矯正による口元の改善!


歯のデコボコ|口ボコ|八重歯が気になる!|ワイヤー矯正


歯のデコボコを治したい|インビザラインで綺麗な歯並びに!|矯正期間は6ヵ月!
担当医 河野豊嘉


モニター|歯のでこぼこと前歯が引っ込んでいるのを治したい|抜歯矯正で歯のデコボコと正中を改善|ワイヤー矯正
担当医 河野豊嘉


【ワイヤー矯正】八重歯 歯のでこぼこを治したい!


【ワイヤー矯正!】歯のでこぼこと捻じれを治したい!


【ワイヤー矯正 11ヵ月で矯正終了!】歯のでこぼこを治したい!
担当医 河野豊嘉


ワイヤー矯正歯科治療の注意事項(リスク・副作用など)
- 治療中は違和感や痛みが起こることがあります
- 症状により、抜歯が必要な場合があります
- 治療中は歯磨きがしにくくなるため、虫歯や歯周病になりやすくなります
- 矯正治療後の保定が不十分だと後戻り(元の位置に戻ろうとする動き)をします
- 自費診療(保険適用外)となります
マウスピース矯正の注意事項(リスク・副作用など)
- 口腔内・歯並びの状態によっては対応できない場合があります
- マウスピース型矯正装置の長時間装着が必須です
- 治療計画通りに進めるためには、患者様の意志が重要になります
- 矯正治療後の保定が不十分だと後戻り(元の位置に戻ろうとする動き)をします
- 自費診療(保険適用外)となります








