症例詳細
Case detail
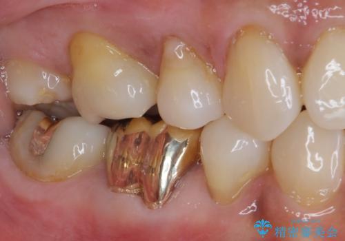
奥歯の銀歯をゴールドに
治療症例の内容
- 診療科目
- 治療カテゴリ
- 担当医
- 藤巻太一朗(ドクタープロフィール)
- 患者様
- 50代女性
- 治療期間
- 1ヶ月
- 治療回数
- 2-5回
- 治療計画
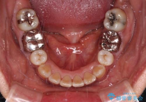
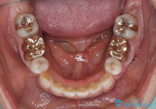
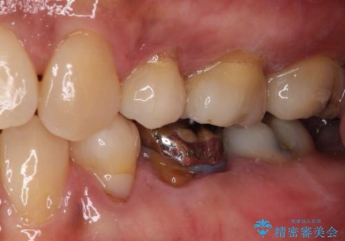
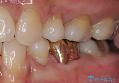
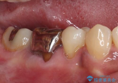
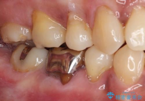
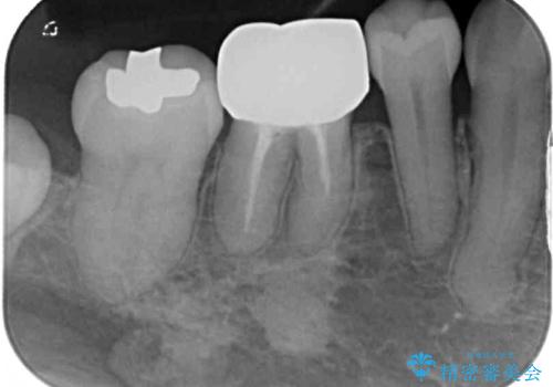
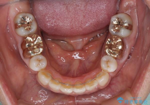
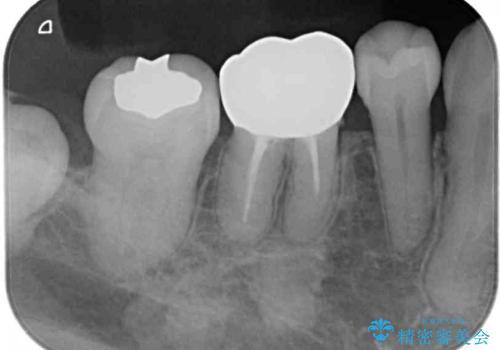
- 矯正治療後に、下顎奥歯の銀歯をすべてゴールドにすることを希望された患者様です。
セラミッククラウンやセラミックインレーによる補綴治療も提案しましたが、お友達にゴールドを自慢したいとのことで、ゴールドクラウンとゴールドインレーにて処置することとしました。
- 費用(概算)
- 治療費の目安: 35万円(税込)費用は治療当時の料金となります
治療について
ゴールドは「白い歯」ではありませんが、銀歯の金属色とは異なり、非常にきれいな色合いが特徴です。
もちろん、適合が極めて良いという圧倒的メリットもゴールドクラウンやゴールドインレーの特徴です。
PGA(ゴールド)クラウン、インレーの注意事項(リスク・副作用など)
- インレーおよびクラウンは脱離するリスクがあります
- 形成量はセラミックより少ないですが、歯の形成、修復後に歯に症状が出ることがあります
- 自費診療(保険適用外治療)となります
当サイトの内容、テキスト、画像等の無断転載、複製、複写、盗用を固く禁じます。
















