症例詳細
Case detail
ものが挟まって痛む 割れてしまった歯のオールセラミックブリッジ治療
治療症例の内容
- 診療科目
- 担当医
- 藤巻太一朗(ドクタープロフィール)
- 患者様
- 50代男性
- 治療期間
- 1年
- 治療回数
- 5-10回
- 治療計画
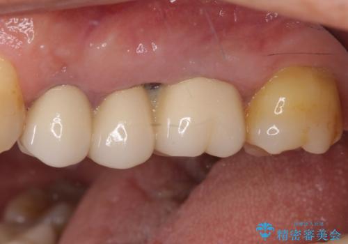
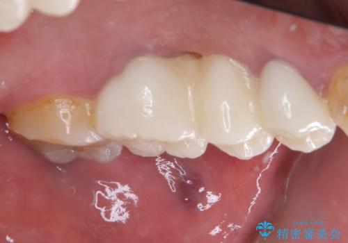
- 奥歯に物が挟まり、痛みを感じるとのことで来院された患者様です。
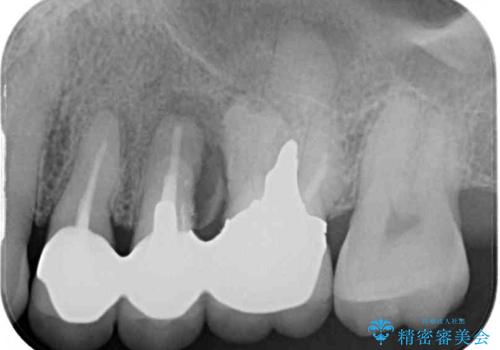
レントゲン写真より、歯が破折している可能性が示唆され、歯槽骨が大きく欠損している様子が分かりました。
3歯のクラウンを除去し、破折が疑われる歯をチェックしたところ、予想通り破折していたため、抜去することとしました。
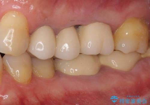
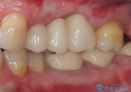
抜歯後、骨吸収量が多く、歯肉のラインが不揃いとなっているため骨造成術を、硬い歯肉が失われて清掃性が低下するため角化歯肉の移植術を行い、また並行して支台歯の根管治療を行っていき、環境を整えた上でオールセラミックブリッジにて補綴治療を行うこととしました。
- 費用(概算)
- 治療費の目安: 90万円(税込)費用は治療当時の料金となります
治療について
インプラントによる補綴治療も検討しましたが、骨吸収量が多いこと、後方の支台歯が今後抜歯となる可能性が否定できないことを鑑み、将来抜歯となった際にインプラント2本を埋入することで患者様と事前にお話をしました。
セラミック治療の注意事項(リスク・副作用など)
- 天然歯を削ります
- 硬い素材は天然歯を傷つけてしまう場合があります
- かみ合わせや歯ぎしりが強すぎる方はセラミックが割れてしまう可能性があります
- 自費診療(保険適用外治療)となります
外科処置の注意事項(リスク・副作用など)
- 外科手術のため、術後に出血、痛みや腫れ、違和感を伴います
- 口腔内の状態によっては適応できないことがあります
当サイトの内容、テキスト、画像等の無断転載、複製、複写、盗用を固く禁じます。














