症例詳細
Case detail
前歯のデコボコを治したい 高校生のインビザライン治療
治療症例の内容
- 診療科目
- 治療カテゴリ
- 担当医
- 藤巻太一朗(ドクタープロフィール)
- 患者様
- 10代女性(高校生)
- 矯正装置
- インビザライン
- 治療期間
- 11ヶ月
- 治療回数
- 5-10回
- 治療計画
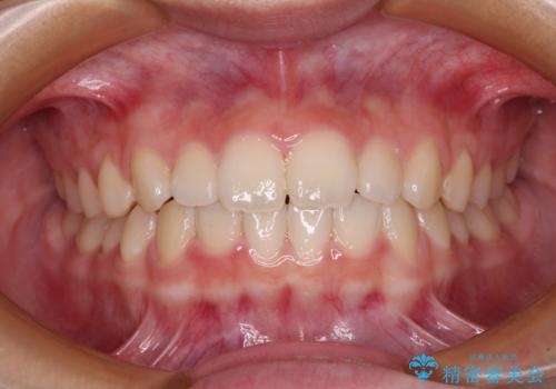
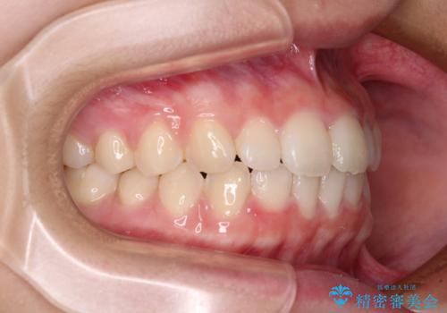
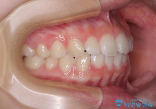
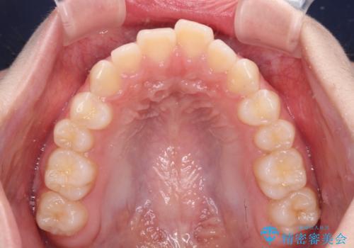
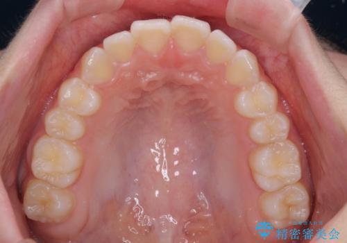
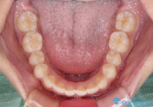
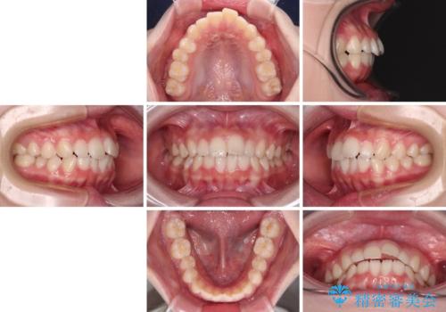
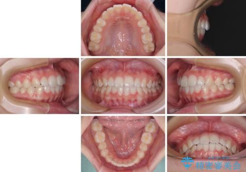
- 前歯のデコボコを気にして来院された高校生の患者様です。
捻れた前歯が前方に飛び出している点も気になっており、目立たない装置を希望されたため、インビザラインを用いて矯正治療を行うこととしました。
- 費用(概算)
- 治療費の目安: 88万円(税込)費用は治療当時の料金となります
治療について
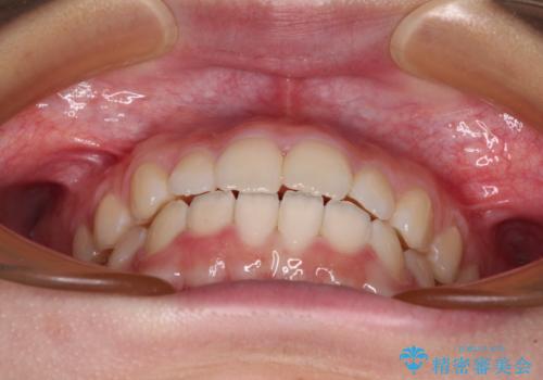
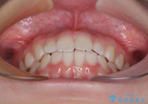
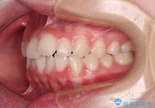
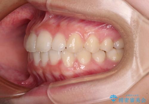
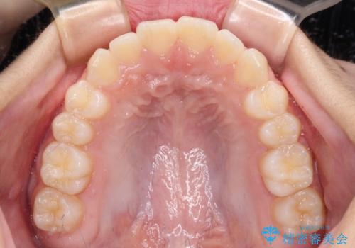
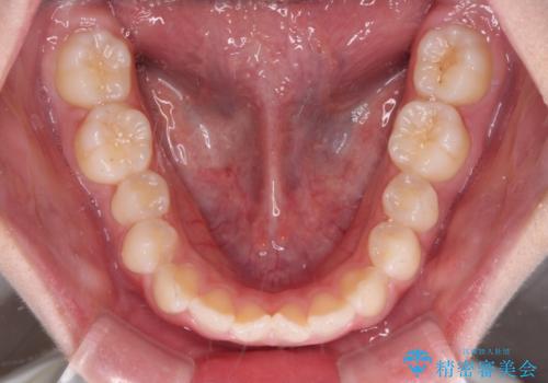
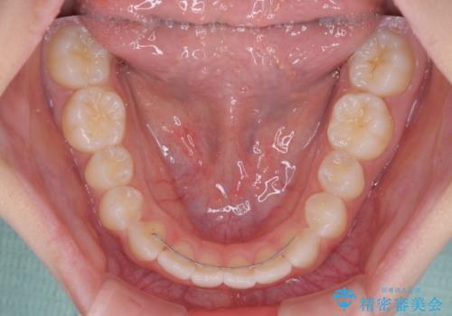
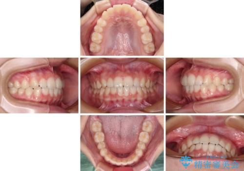
上下ともに少し捻れが残っていたため、治療の継続を提案しましたが、本人も親御さんも満足とのことで、治療を終えました。
捻れの改善により突出感も改善されました。
マウスピース矯正の注意事項(リスク・副作用など)
- 口腔内・歯並びの状態によっては対応できない場合があります
- マウスピース型矯正装置の長時間装着(1日20時間以上)が必須です
- 治療計画通りに進めるためには、患者様の意志が重要になります
- 矯正治療後の保定が不十分だと後戻り(元の位置に戻ろうとする動き)をします
- 薬機法対象外の矯正歯科装置のため医薬品副作用被害救済制度の対象外となる場合があります
- 自費診療(保険適用外)となります
当サイトの内容、テキスト、画像等の無断転載、複製、複写、盗用を固く禁じます。



























