症例詳細
Case detail
他院で矯正後、歯の神経が死んでしまった歯の治療
治療症例の内容
- 診療科目
- 治療カテゴリ
- 担当医
- 井上季実子(ドクタープロフィール)
- 患者様
- 30代女性
- 治療期間
- 3ヶ月
- 治療回数
- 2-5回
- 治療計画
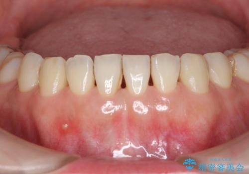
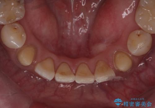
- 子供のころに4本抜歯してワイヤー矯正をしたとのことでした。
最近右下の犬歯の根の先付近の歯茎に何かできており、違和感があるとのでした。
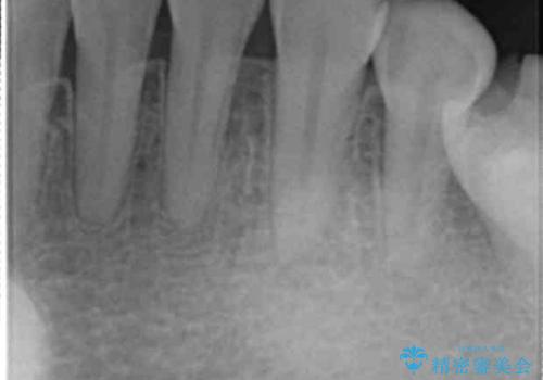
CTでみたところ、下の犬歯が内側に倒れこんでおり、根の先が顎の骨から出かかっている状態でした。おそらくその影響で犬歯の神経が失活してしまったのであろうと思われます。(フェネストレーションといいます)
検査した結果下の両側の犬歯の神経が失活しており、根の治療が必要な状態でした。
- 費用(概算)
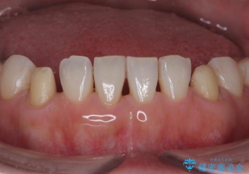
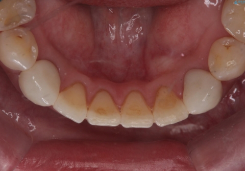
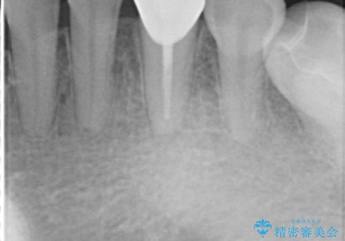
- 57.2万円 内訳:下顎左右犬歯 再根管治療 9万円x2本 ファイバーコア 2万円x2本 仮歯 1万円×2本 ジルコニアクラウン(スペシャル) 13万円×2本費用は治療当時の料金となります
治療について
矯正専門の医院でCTまで完備しているというのはなかなか施設の規模として難しいと思います。
また、矯正医が気付かずにすき間をとじようとして犬歯が倒れてしまうと今回のようなことが後々時々起こります。
患者様が矯正治療後に矯正の病院にずっと通うというのが現実的に難しい中で、矯正医も自らの治療の結果がこのような予後になっていることがフィードバックできておらず、同じような治療を繰り返してしまうような状況が残念でなりません。
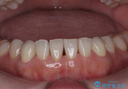
一見歯がきれいに並んでいても、中の根の先の位置までしっかり矯正治療で丁寧に動かさないと、今回のように神経が失活するリスクがあるので、注意が必要です。
セラミック治療の注意事項(リスク・副作用など)
- 天然歯を削ります
- 硬い素材は天然歯を傷つけてしまう場合があります
- かみ合わせや歯ぎしりが強すぎる方はセラミックが割れてしまう可能性があります
- 自費診療(保険適用外治療)となります
根管治療の注意事項(リスク・副作用など)
- 根管治療により類似の全ての症例の問題が解決するわけではなく、症例はあくまでも一例です
- 根管治療により痛みや腫れがひかない事や、術後に痛みや腫れが生じる事、治療によるファイル破折やパーフォレーションなどの偶発症、術後の歯根破折を生じる可能性もあります
- 自費診療(保険適用外)となります
当サイトの内容、テキスト、画像等の無断転載、複製、複写、盗用を固く禁じます。











