症例詳細
Case detail
歯を抜かずに後方移動で達成する、前突感の改善
治療症例の内容
- 担当医
- 大元洋佑(ドクタープロフィール)
- 患者様
- 20代女性
- 矯正装置
- インビザライン
- 治療期間
- 2年
- 治療回数
- 10-30回
- 治療計画
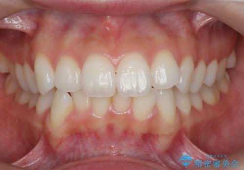
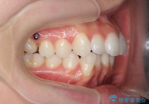
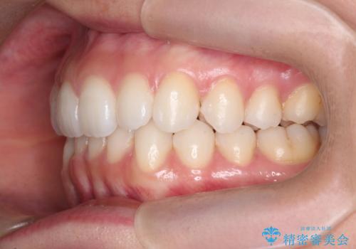
- 前歯が出っ歯のように見えることの改善を求めて来院されました。
当初、セラミックによる治療をご希望されていましたが、相談の結果矯正治療を選択されることとなりました。
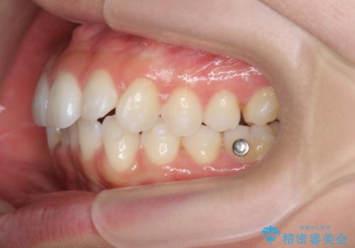
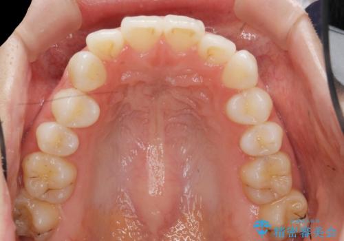
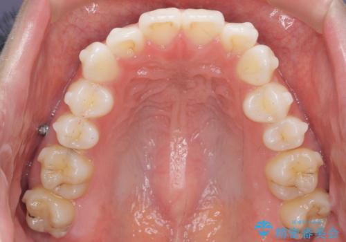
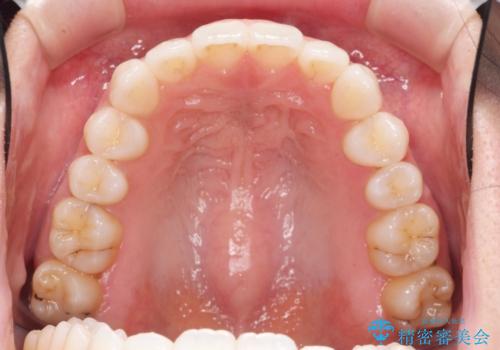
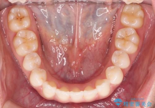
通常口元の突出感の改善を行うには小臼歯の4本抜歯が検討されますが、歯のガタ付きが下顎前歯に限定していることから
下顎前歯を1本だけ抜去を行い、上顎の歯は可及的にマイクロインプラントを用いた後方移動を行い口元の印象の改善を計画することとなりました。
- 費用(概算)
- 88万円費用は治療当時の料金となります
治療について
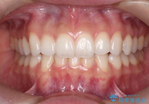
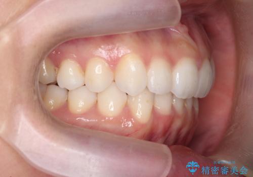
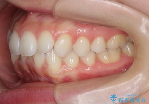
マイクロインプラントを用いてしっかりと後方移動を行ったことで前歯の角度は改善され、口元もすっきりと仕上げることができました。
マウスピース矯正の注意事項(リスク・副作用など)
- 口腔内・歯並びの状態によっては対応できない場合があります
- マウスピース型矯正装置の長時間装着(1日20時間以上)が必須です
- 治療計画通りに進めるためには、患者様の意志が重要になります
- 矯正治療後の保定が不十分だと後戻り(元の位置に戻ろうとする動き)をします
- 薬機法対象外の矯正歯科装置のため医薬品副作用被害救済制度の対象外となる場合があります
- 自費診療(保険適用外)となります
当サイトの内容、テキスト、画像等の無断転載、複製、複写、盗用を固く禁じます。

















