症例詳細
Case detail
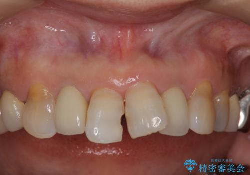
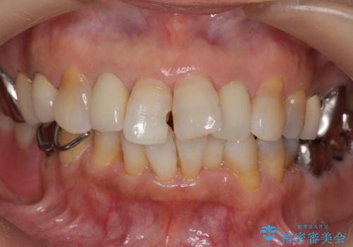
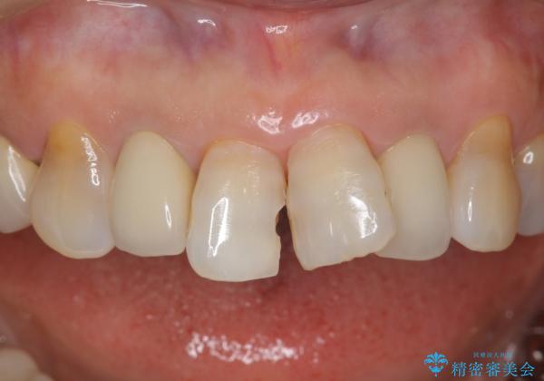
50代女性 前歯のつめものがとれた これを機に前歯をきれいにしたい
治療症例の内容
- 診療科目
- 治療カテゴリ
- 担当医
- 井上季実子(ドクタープロフィール)
- 患者様
- 50代女性
- 治療期間
- 2ヶ月
- 治療回数
- 2-5回
- 治療計画
- 前歯の詰め物が頻繁に外れるとのことで来院。
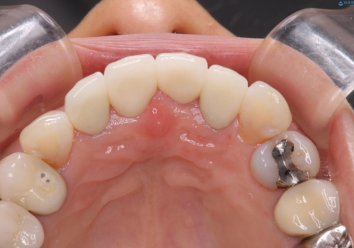
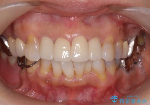
これを機にセラミックでかぶせて、前歯の歯並びも良くしたいとのことでした。
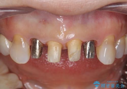
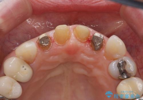
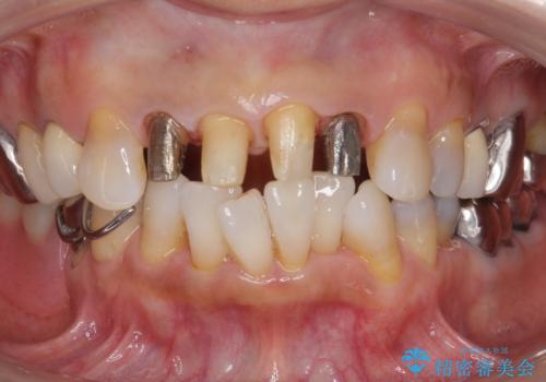
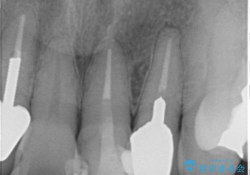
左上の前歯のみねじれが大きいため、歯の位置をひっこめたかぶせものにするために、神経の治療を行っています。
- 費用(概算)
- 59.5万円 (オフィスホワイトニング 3万円、ジルコニアクラウン スタンダード 10万円×4本、仮歯 1万円×4本、精密根管治療(左上1)6万円×1本、ファイバーコア 2万円×1本)費用は治療当時の料金となります
治療について
両側の前歯もやり替えをすることで、前歯の前突感も無くしています。
両側の歯の神経の治療および土台のやり替えは行っていません。
セラミック治療の注意事項(リスク・副作用など)
- 天然歯を削ります
- 硬い素材は天然歯を傷つけてしまう場合があります
- かみ合わせや歯ぎしりが強すぎる方はセラミックが割れてしまう可能性があります
- 自費診療(保険適用外治療)となります
根管治療の注意事項(リスク・副作用など)
- 根管治療により類似の全ての症例の問題が解決するわけではなく、症例はあくまでも一例です
- 根管治療により痛みや腫れがひかない事や、術後に痛みや腫れが生じる事、治療によるファイル破折やパーフォレーションなどの偶発症、術後の歯根破折を生じる可能性もあります
- 自費診療(保険適用外)となります
当サイトの内容、テキスト、画像等の無断転載、複製、複写、盗用を固く禁じます。












