症例詳細
Case detail
前歯をさげたい 歯を抜かずに マウスピース矯正で治したい
治療症例の内容
- 担当医
- 井上季実子(ドクタープロフィール)
- 患者様
- 20代女性
- 矯正装置
- インビザライン
- 治療期間
- 2年3ヶ月
- 治療回数
- 10-30回
- 治療計画
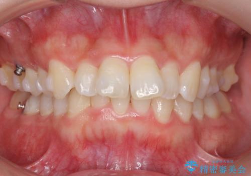
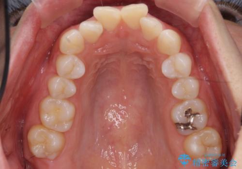
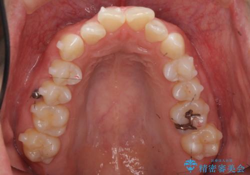
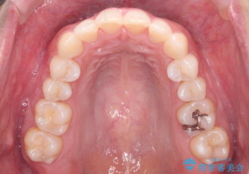
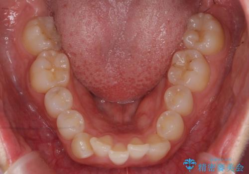
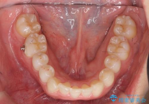
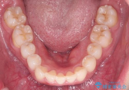
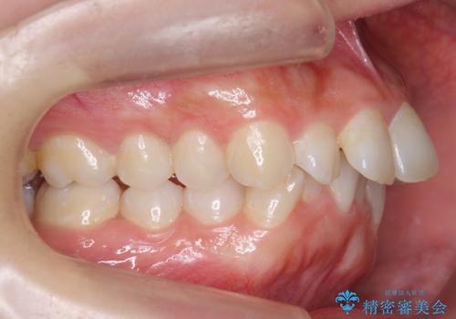
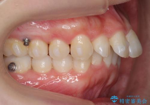
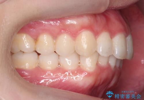
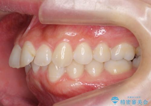
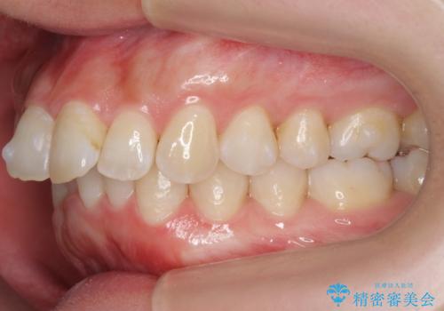
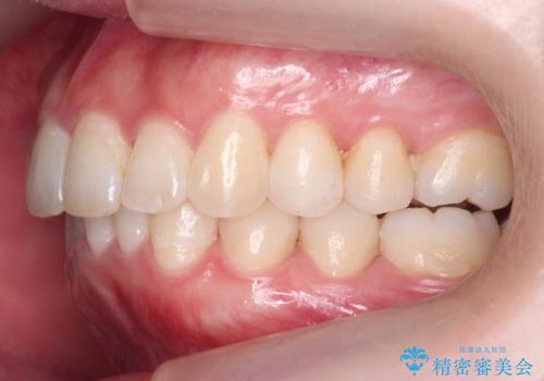
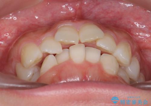
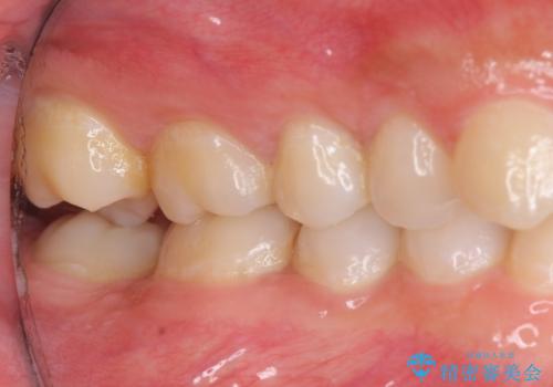
- 上の前歯が出ているとのことで来院。
歯を抜かずに、上の奥歯を後ろにさげつつ上の前歯を小さく少し削る処置を行い前歯の角度を修正しました。
右上下の奥歯もすれ違い咬合も、治療で改善しています。
- 費用(概算)
- 104.5万円(マウスピース矯正 93.5万円、矯正用スクリュー11万円)費用は治療当時の料金となります
治療について
下の前歯が生まれつき3本でしたので上下の正中は合わない仕上がりとなります。
マウスピース矯正の注意事項(リスク・副作用など)
- 口腔内・歯並びの状態によっては対応できない場合があります
- マウスピース型矯正装置の長時間装着(1日20時間以上)が必須です
- 治療計画通りに進めるためには、患者様の意志が重要になります
- 矯正治療後の保定が不十分だと後戻り(元の位置に戻ろうとする動き)をします
- 薬機法対象外の矯正歯科装置のため医薬品副作用被害救済制度の対象外となる場合があります
- 自費診療(保険適用外)となります
当サイトの内容、テキスト、画像等の無断転載、複製、複写、盗用を固く禁じます。



















