症例詳細
Case detail
口元大事です! 見違える矯正!! 乱ぐい歯もあきらめないでください。
治療症例の内容
- 診療科目
- 担当医
- 井上季実子(ドクタープロフィール)
- 患者様
- 20代女性
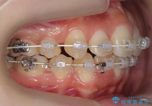
- 矯正装置
- ワイヤー矯正
- 治療期間
- 3年1ヶ月
- 治療回数
- 10-30回
- 治療計画
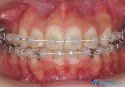
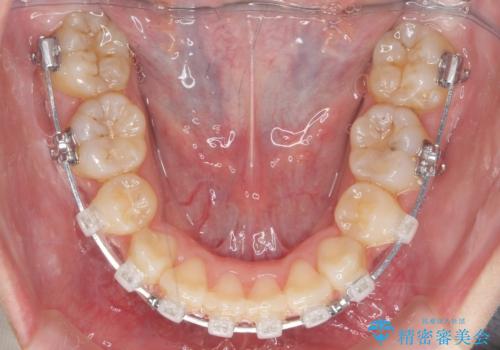
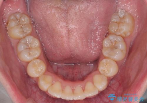
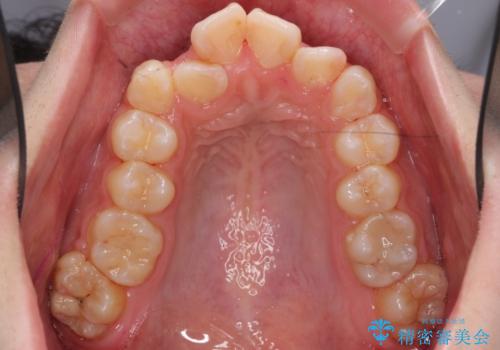
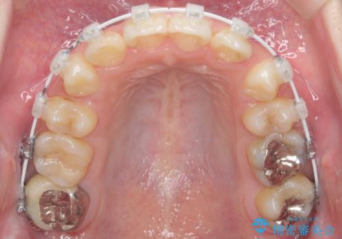
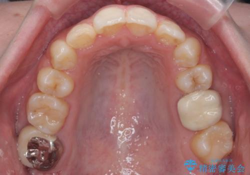
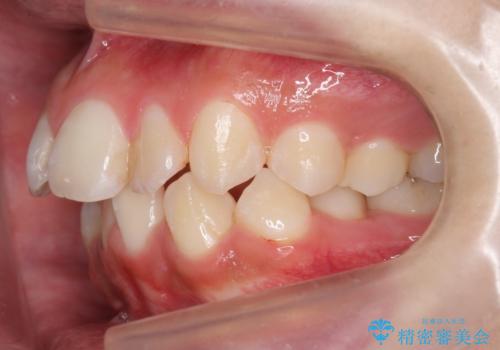
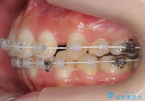
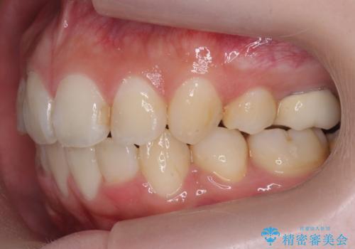
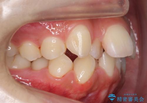
- 前歯のがたつきを主訴に来院。
顔が小さく、顎に大きな歯が入りきらない状態でした。
抜歯してワイヤー矯正を行いました。
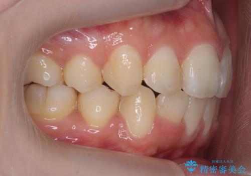
治療に時間はかかりましたが、喜んでいただけました。
- 費用(概算)
- 110万円費用は治療当時の料金となります
治療について
矯正後は口も閉じやすくなり、大変喜んでいただけました。
2-3年かかりますが、その後の70年の方が、長いのではないかと思います。
あきらめずにぜひ相談してください。
ワイヤー矯正の注意事項(リスク・副作用など)
- 治療中は違和感や痛みが起こることがあります
- 症状により、抜歯が必要な場合があります
- 治療中は歯磨きがしにくくなるため、虫歯や歯周病になりやすくなります
- 矯正治療後の保定が不十分だと後戻り(元の位置に戻ろうとする動き)をします
- 自費診療(保険適用外)となります
当サイトの内容、テキスト、画像等の無断転載、複製、複写、盗用を固く禁じます。





















