症例詳細
Case detail
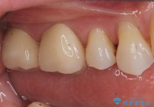
銀歯を白くしたい セラミッククラウンでの治療
治療症例の内容
- 診療科目
- 治療カテゴリ
- 担当医
- 岡田康成(ドクタープロフィール)
- 患者様
- 20代女性
- 治療期間
- 2ヶ月
- 治療回数
- 2-5回
- 治療計画
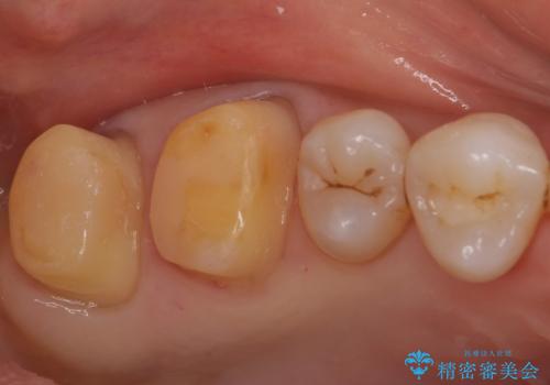
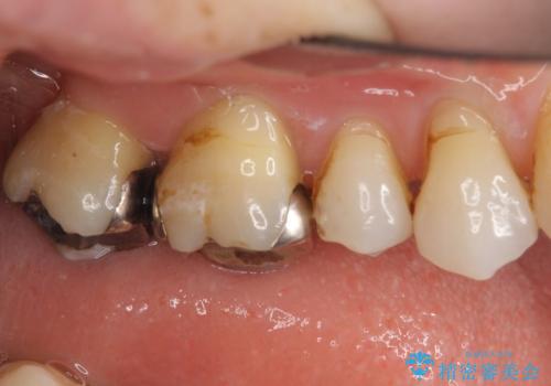
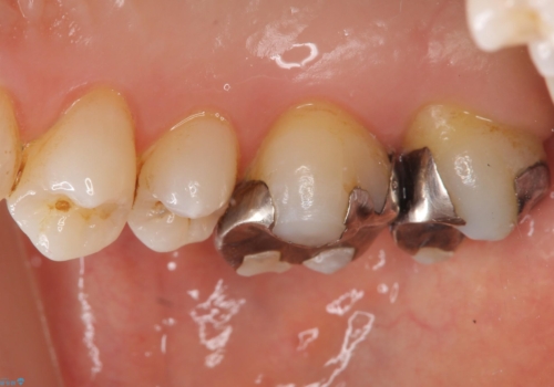
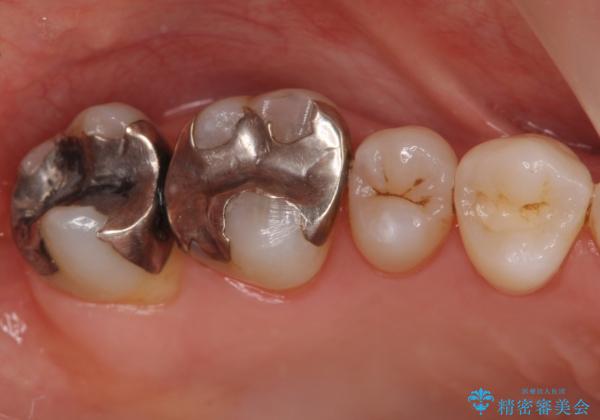
- 銀歯を白くしたいとのことで来院されました。
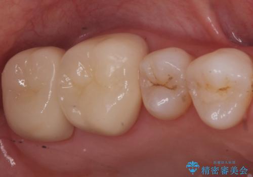
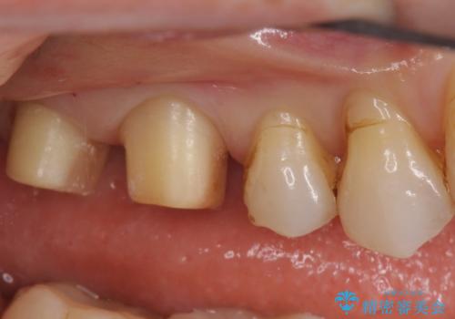
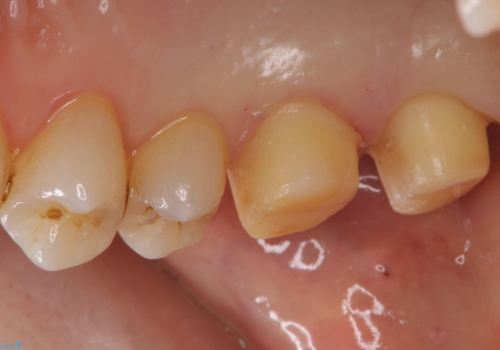
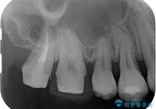
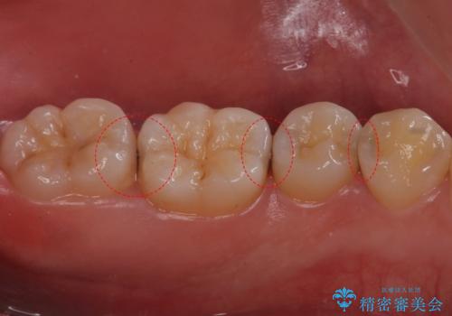
銀の詰め物を除去した後、その奥にある古い詰め物も除去し完全にむし歯を取り切ったことを確認してからセラミッククラウンを装着していきます。
- 費用(概算)
- 右上67 仮歯+ジルコニアクラウン:11,000+110,000円 右上7/根管治療:保険 ファイバーコア:22,000円費用は治療当時の料金となります
治療について
詰め物の除去後、残った歯が薄い場合は今後の破折リスクを考慮して被せ物での修復処置を提案することがあります。
セラミック治療の注意事項(リスク・副作用など)
- 天然歯を削ります
- 硬い素材は天然歯を傷つけてしまう場合があります
- かみ合わせや歯ぎしりが強すぎる方はセラミックが割れてしまう可能性があります
- 自費診療(保険適用外治療)となります
当サイトの内容、テキスト、画像等の無断転載、複製、複写、盗用を固く禁じます。












