症例詳細
Case detail
【歯根端切除術】根っこの治療をしたが、また腫れてきた。
治療症例の内容
- 診療科目
- 治療カテゴリ
- 担当医
- 河口智英(ドクタープロフィール)
- 患者様
- 40代女性
- 治療期間
- 1ヶ月
- 治療回数
- 2-5回
- 治療計画
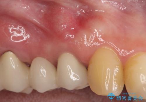
- 前医にて根っこの治療をしたが、歯肉が腫れてきたことを主訴に紹介された患者様です。
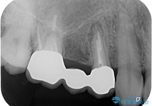
歯肉を押すと痛みがあり、レントゲンの画像でも病変があることがわかります。
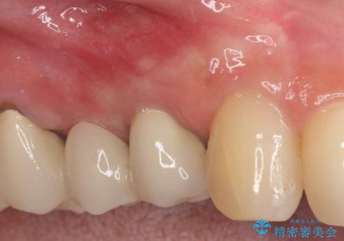
前医にてラバーダムを用いた根管治療が完了していたため、歯根の先端を切除する治療を行いました。
6ヶ月経過し、症状もなくなり、病変も縮小していることが確認できます。
- 費用(概算)
- 5万円(当院にて2年以内に自費で根管治療をおこなった場合)費用は治療当時の料金となります
治療について
手術をした後は、7日ほど痛みと腫れが出ます。
根管治療の注意事項(リスク・副作用など)
- 根管治療により類似の全ての症例の問題が解決するわけではなく、症例はあくまでも一例です
- 根管治療により痛みや腫れがひかない事や、術後に痛みや腫れが生じる事、治療によるファイル破折やパーフォレーションなどの偶発症、術後の歯根破折を生じる可能性もあります
- 自費診療(保険適用外)となります
外科処置の注意事項(リスク・副作用など)
- 外科手術のため、術後に出血、痛みや腫れ、違和感を伴います
- 口腔内の状態によっては適応できないことがあります
当サイトの内容、テキスト、画像等の無断転載、複製、複写、盗用を固く禁じます。







