症例詳細
Case detail
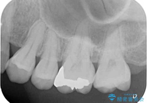
虫歯の発生を初期段階で発見 ゴールドインレー修復
治療症例の内容
- 診療科目
- 治療カテゴリ
- 担当医
- 大元洋佑(ドクタープロフィール)
- 患者様
- 20代女性
- 治療期間
- 1ヶ月
- 治療回数
- 2-5回
- 治療計画
- メンテナンス・検診で数ヶ月に一度定期的に来院されている方の治療例です。
定期的にX線写真を撮影しチェックすることで、外から見てわかるプラークコントロールだけでなく虫歯を初期段階で発見し対策することができます。
歯ぎしりの癖があることから強度に優れるゴールドインレーにて修復を行いました。
- 費用(概算)
- 7.7万円 (ゴールドインレー)費用は治療当時の料金となります
治療について
ゴールドは強度に優れ、適合も良い修復物を製作することができます。
PGA(ゴールド)クラウン、インレーの注意事項(リスク・副作用など)
- インレーおよびクラウンは脱離するリスクがあります
- 形成量はセラミックより少ないですが、歯の形成、修復後に歯に症状が出ることがあります
- 自費診療(保険適用外治療)となります
当サイトの内容、テキスト、画像等の無断転載、複製、複写、盗用を固く禁じます。





